
Gencive Gonflee et Infection : Causes, Traitement et Urgence
Une gencive qui devient rouge, gonfle, saigne au brossage ou laisse echapper du pus n'est jamais anodine. Derriere ces symptomes se cache toujours une infection bacterienne qui, ignoree, peut mener a la perte des dents et meme affecter votre coeur et vos arteres. Ce guide explique exactement ce qui se passe dans votre bouche, comment savoir si c'est une urgence, ce que vous pouvez faire chez vous et quels traitements professionnels existent a Geneve.
Les sources scientifiques utilisees pour ce guide incluent les articles Wikipedia Gingivite et Parodontite, les recommandations de la Federation europeenne de parodontologie (EFP), l'Organisation mondiale de la sante et la Societe suisse des medecins-dentistes (SSO).
Symptomes a reconnaitre
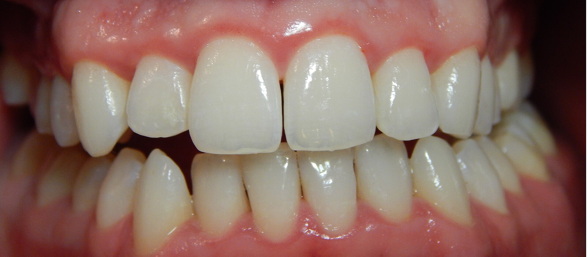
Une gencive saine est rose pale, ferme, lisse autour de chaque dent et ne saigne jamais spontanement. Quand l'un de ces criteres change, c'est un signal d'alerte. Selon l'EFP, plus de 90 % des adultes auront une forme de maladie gingivale au cours de leur vie, et seulement 1 sur 5 reconnait les premiers symptomes a temps.
Voici les signes a surveiller, du plus benin au plus grave :
- Rougeur de la gencive le long du collet de la dent
- Gonflement visible, gencive bouffie qui deborde
- Saignement au brossage ou au passage du fil dentaire
- Sensibilite et douleur au toucher ou pendant le brossage
- Mauvaise haleine persistante (halitose)
- Gout metallique ou de pus dans la bouche
- Recession gingivale : les dents semblent plus longues
- Pus qui sourd entre la dent et la gencive a la pression
- Mobilite dentaire : une dent qui bouge
- Gonflement de la joue ou du visage
- Fievre, ganglions enfles, difficulte a avaler : urgence absolue

Plusieurs symptomes combines = consultation rapide. Un seul saignement isole apres un brossage agressif n'est pas pathologique. Mais des saignements quotidiens, meme legers, sont toujours un signe d'inflammation chronique a traiter.
Les 8 causes principales
Une gencive ne gonfle jamais sans raison. Dans la grande majorite des cas (plus de 80 %), la cause est bacterienne et liee a une mauvaise elimination de la plaque dentaire. Mais d'autres facteurs peuvent s'ajouter ou agir seuls. Identifier la cause permet de choisir le bon traitement.
1. La gingivite (cause #1)
C'est la cause la plus frequente. La gingivite est l'inflammation de la gencive provoquee par la plaque bacterienne qui s'accumule au collet des dents. Elle apparait en 24 a 72 heures sans brossage suffisant. Bonne nouvelle : elle est 100 % reversible si traitee a temps.
2. La parodontite
Si la gingivite n'est pas traitee, l'inflammation descend sous la gencive et detruit progressivement l'os qui soutient les dents. C'est la parodontite. Contrairement a la gingivite, les degats sont irreversibles : l'os perdu ne se reconstitue pas spontanement.
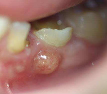
3. L'abces parodontal
Une poche parodontale peut s'infecter brutalement et former un abces : gonflement localise tres douloureux, souvent une "boule" rouge sur la gencive avec parfois du pus. C'est une urgence : consultation dans les 24 heures. Voir notre guide complet de l'urgence dentaire.

4. Une dent de sagesse en eruption
Les dents de sagesse (3emes molaires) percent generalement entre 17 et 25 ans. Quand l'espace est insuffisant, elles restent partiellement enclavees sous une capuche de gencive (operculum). Des bacteries s'y logent et provoquent une pericoronarite : gonflement, douleur a la mastication, parfois trismus (difficulte a ouvrir la bouche).

5. Un nouveau plombage ou une couronne mal ajustee
Un plombage qui deborde, une couronne dont les bords ne sont pas parfaitement polis, un point de contact trop ferme avec la dent voisine : tous ces defauts retiennent les bacteries et irritent la gencive adjacente. Le gonflement apparait en quelques jours apres le soin. Retournez voir le dentiste qui a fait le travail : la correction est generalement gratuite et rapide.
6. Un appareil dentaire ou des bagues
Les porteurs de bagues orthodontiques, de gouttieres ou d'appareils amovibles ont souvent des gencives gonflees autour des points de retention de plaque. Brossettes interdentaires + fil orthodontique sont indispensables. Les premiers jours apres pose ou ajustement, une legere inflammation est normale et disparait en 7-10 jours.
7. L'herpes buccal (gingivostomatite herpetique)
Le virus de l'herpes simplex peut provoquer une gingivite avec gencives tres rouges, vesicules douloureuses sur la gencive, le palais et la langue, fievre et ganglions. Frequent chez l'enfant lors d'une primo-infection, plus rare chez l'adulte. Resolution spontanee en 10-14 jours mais consultez si la douleur est tres forte ou empeche de manger/boire.
8. La candidose buccale
Aussi appelee "muguet", c'est une infection a champignons (Candida albicans). Elle se manifeste par des plaques blanches sur la langue et les gencives, avec parfois un fond rouge inflammatoire. Frequente chez les porteurs de prothese, les diabetiques, les personnes immunodeprimees ou apres un traitement antibiotique. Necessite un antifongique sur prescription.
Causes plus rares mais a connaitre
- Carences vitaminiques (vitamine C, scorbut)
- Effet secondaire de medicaments (anti-epileptiques, immunosuppresseurs, certains anti-hypertenseurs)
- Modifications hormonales (grossesse, puberte, menopause)
- Tabac (aggrave fortement la parodontite)
- Bruxisme et traumatismes occlusaux
- Reactions allergiques (dentifrices, bains de bouche, materiaux dentaires)
- Maladies systemiques (leucemie, diabete decompense, VIH)
Gingivite vs parodontite : la difference critique
C'est la distinction la plus importante de cet article. La gingivite et la parodontite sont deux stades d'une meme maladie, mais l'enjeu est radicalement different : la gingivite est totalement reversible, la parodontite ne l'est pas. Connaitre la difference peut litteralement vous faire economiser vos dents.

| Critere | Gingivite | Parodontite |
|---|---|---|
| Tissus atteints | Gencive uniquement | Gencive + os + ligament |
| Reversibilite | 100 % reversible | Irreversible |
| Saignement | Au brossage | Spontane parfois |
| Mobilite dentaire | Aucune | Progressive |
| Recession gingivale | Aucune | Visible |
| Poches parodontales | Non (< 3 mm) | Oui (4-12 mm) |
| Perte osseuse radio | Aucune | Visible sur pano |
| Traitement de base | Detartrage + brossage | Surfacage + suivi a vie |
| Risque final | Devient parodontite | Perte des dents |
| Cout estime | CHF 150-300 | CHF 800-3'500+ |

Le passage de la gingivite a la parodontite ne se fait pas automatiquement : environ 40 a 50 % des gingivites non traitees evoluent en parodontite, le reste peut rester stable des annees. Mais le risque augmente fortement chez les fumeurs, les diabetiques, en cas de stress chronique, de mauvaise hygiene orale ou de predisposition genetique.
La parodontite est sournoise : elle ne fait souvent pas mal, contrairement a une carie. Beaucoup de patients ne s'en rendent compte qu'au stade ou les dents bougent ou se deplacent. C'est pour cela que le controle annuel chez le dentiste est essentiel : il mesure les poches parodontales avec une sonde graduee et detecte la maladie longtemps avant que vous ne sentiez quoi que ce soit.
Quand c'est une urgence absolue
Toute gencive gonflee n'est pas une urgence. Mais certains signes imposent une consultation immediate, parfois meme aux urgences hospitalieres. La regle de base : plus l'infection s'etend hors de la bouche, plus c'est grave.
URGENCE 144 / Hopital immediatement
- Difficulte a respirer ou a deglutir (signe d'angine de Ludwig)
- Gonflement qui ferme l'oeil ou s'etend vers le cou
- Fievre superieure a 38,5 degC avec frissons
- Etat general altere : confusion, vertiges, fatigue extreme
- Trismus serieux : impossibilite d'ouvrir la bouche de plus de 1-2 cm
- Ganglions du cou tres enfles et douloureux
Composez le 144 ou allez aux urgences des HUG (Rue Gabrielle-Perret-Gentil 4, 1205 Geneve).
Urgence dentaire dans les 24 heures
- Gonflement de la joue ou du visage sans fievre
- Pus visible qui s'ecoule de la gencive
- Douleur intense qui empeche de dormir ou de manger
- Boule rouge ronde et ferme sur la gencive (abces parodontal)
- Saignement qui ne s'arrete pas apres 15 minutes de compression
- Une dent qui bouge soudainement
- Gout permanent et persistant de pus dans la bouche
Appelez 078 216 67 26 ou SOS Dentistes au 022 735 73 11.
Consultation sous 7 jours
- Saignement quotidien au brossage depuis plus d'une semaine
- Gencives rouges et legerement gonflees
- Mauvaise haleine persistante malgre l'hygiene
- Sensibilite generalisee des gencives
- Recession gingivale visible (dents qui semblent plus longues)
Pourquoi cette urgence ? Une infection dentaire negligee peut, dans des cas extremes, devenir mortelle. L'angine de Ludwig, une cellulite cervicofaciale d'origine dentaire, comprime les voies aeriennes et necessite une intubation en urgence. Ces cas sont rares mais documentes : ne prenez jamais a la legere une infection qui s'etend hors de la bouche.
Premiers reflexes a la maison
En attendant votre rendez-vous chez le dentiste (ou si vous ne pouvez pas consulter immediatement), voici les gestes a effectuer pour calmer l'inflammation et limiter la progression de l'infection. Ces mesures soulagent les symptomes mais ne soignent pas la cause : elles ne dispensent jamais d'une consultation.
1. Bain de bouche au sel tiede
Le plus efficace, le moins cher, et sans contre-indication. Diluez 1 cuillere a cafe de sel dans un verre d'eau tiede. Faites des bains de bouche pendant 30 secondes, 3 a 4 fois par jour, surtout apres les repas. Le sel a une action anti-inflammatoire et antibacterienne legere, et favorise le drainage naturel de l'inflammation.
2. Bain de bouche a la chlorhexidine
La chlorhexidine 0,12 % ou 0,2 % (Paroex, Eludril, Curasept) est l'antiseptique de reference en parodontologie. Disponible sans ordonnance en pharmacie, elle reduit drastiquement la charge bacterienne. Utilisez-la 2 fois par jour pendant 7-14 jours maximum (au-dela, elle colore les dents et altere le gout). Faites les bains de bouche au moins 30 minutes apres le brossage (le dentifrice annule son effet).
3. Brosse a dents souple, brossage doux
N'arretez surtout pas de brosser vos dents, c'est l'erreur la plus frequente. Utilisez une brosse a dents souple ("soft" ou "extra-soft"), avec une technique douce a 45 degres sur la jonction dent-gencive. Brossez 2 minutes, 2 fois par jour. Le saignement est normal au debut et diminue en 5 a 10 jours.

4. Antalgique si douleur
Le paracetamol (1 g toutes les 6 h) est l'antalgique de premiere intention. L'ibuprofene 400 mg a aussi un effet anti-inflammatoire interessant en cas de gonflement, sauf contre-indication (ulcere, anticoagulants, insuffisance renale, grossesse au 3eme trimestre). Ne depassez pas les doses maximales et ne prenez jamais d'aspirine pour une douleur dentaire (voir section suivante).
5. Compression froide externe
En cas de gonflement de la joue, appliquez une poche de glace enroulee dans un linge sur la joue, pendant 15 minutes maximum, plusieurs fois par jour. Le froid reduit l'oedeme et soulage la douleur. Jamais de glace directement sur la peau et jamais a l'interieur de la bouche.
6. Adapter son alimentation
Pendant que la gencive est inflammee, evitez :
- Aliments durs et croquants (chips, croutons, noix, pommes crues)
- Aliments tres chauds ou tres froids qui aggravent la sensibilite
- Epices fortes, acides, agrumes qui irritent les gencives
- Sucreries et boissons sucrees qui nourrissent les bacteries
- Alcool et tabac qui ralentissent la cicatrisation
Privilegiez les aliments tiedes, mous et nutritifs : soupes, purees, yaourts, oeufs, poissons, smoothies non sucres. Buvez beaucoup d'eau pour aider l'organisme a evacuer l'infection.
Ce qu'il NE faut PAS faire
Certaines reactions instinctives aggravent en realite la situation. Voici les pieges les plus frequents que nous voyons en consultation :
Erreurs a eviter absolument
- Arreter de brosser la zone qui saigne. Le saignement vient de l'inflammation, et l'inflammation vient de la plaque. Ne pas brosser, c'est nourrir le probleme.
- Prendre de l'aspirine pour la douleur dentaire. L'aspirine fluidifie le sang et augmente le risque de saignement. Elle masque mal la douleur dentaire et peut provoquer des brulures gingivales si elle est appliquee directement sur la dent ou la gencive (mythe dangereux).
- Appliquer de l'aspirine ou un cachet directement sur la gencive. Cela provoque des brulures chimiques et necroses tissulaires.
- Prendre des antibiotiques d'une vieille ordonnance. Mauvais spectre, mauvaise dose, mauvaise duree : vous selectionnez des bacteries resistantes et masquez l'infection sans la traiter.
- Ignorer un saignement "habituel". Saigner au brossage n'est jamais normal. C'est toujours un signe d'inflammation.
- Faire des bains de bouche a l'alcool fort. Cela brule les muqueuses deja inflammees et aggrave le probleme. Pas de whisky, pas de cognac : utilisez de la chlorhexidine ou du sel.
- Percer un abces soi-meme. Risque grave de propagation de l'infection et d'aggravation. Seul un dentiste peut drainer correctement.
- Attendre que ca passe tout seul. La gingivite peut s'estomper momentanement, mais l'infection sous-jacente continue. Plus vous attendez, plus le traitement est lourd et couteux.
- Brosser tres fort en pensant "mieux nettoyer". Un brossage agressif aggrave la recession gingivale et le saignement. La cle est la duree (2 min) et la technique, pas la force.
Traitements professionnels disponibles
Selon la cause et la severite, le dentiste dispose d'un arsenal therapeutique progressif. Le principe : commencer par le moins invasif et n'augmenter que si necessaire.
1. Detartrage ultrasonique
Premiere etape obligatoire. Elimine la plaque calcifiee (tartre) au-dessus et juste sous la gencive a l'aide d'inserts ultrasoniques qui font vibrer le tartre jusqu'a le decrocher. Indolore (parfois sensibilite legere). Suivi d'un polissage. Duree : 30-60 min. Cout : CHF 150-250. A faire 1 a 2 fois par an pour la plupart des adultes.
2. Surfacage radiculaire (curetage parodontal)
Si une parodontite est diagnostiquee, le dentiste descend sous la gencive jusqu'a la racine pour eliminer le tartre sous-gingival et lisser la racine. C'est le traitement de base de la parodontite. Realise sous anesthesie locale, par quadrant (4 seances generalement), CHF 80-150 par quadrant soit CHF 320-600 pour la bouche entiere. Suivi d'une re-evaluation a 6-8 semaines.
3. Antibiotiques locaux
En complement du surfacage dans les poches profondes ou recurrentes, le dentiste peut deposer un gel ou des fibres antibiotiques directement dans la poche parodontale (Arestin, PerioChip, Atridox). Effet local, sans effets systemiques. CHF 60-120 par site.
4. Antibiotiques oraux
Reserves aux infections aigues (abces parodontal, cellulite, fievre, dent de sagesse infectee severe). Les molecules de premiere intention sont l'amoxicilline (1 g x 2/j pendant 7 jours), eventuellement associee au metronidazole (500 mg x 3/j) dans les parodontites agressives. En cas d'allergie, clindamycine ou azithromycine. Toujours sur prescription, jamais en automedication.
5. Drainage d'abces
Si une "boule" purulente est presente, le dentiste l'incise sous anesthesie locale pour evacuer le pus, puis rincage betadine. Soulagement immediat de la pression et de la douleur. CHF 150-300 selon la complexite. Antibiotiques generalement associes.
6. Chirurgie parodontale
En cas de poches superieures a 6 mm persistantes apres surfacage, ou de recessions gingivales severes, le parodontologue peut proposer :
- Lambeau d'assainissement : decoller la gencive pour nettoyer en profondeur (CHF 600-1'200 par quadrant)
- Regeneration tissulaire guidee : membranes et substituts osseux pour reformer l'os (CHF 800-1'800 par site)
- Greffe gingivale : prelevement de gencive du palais pour recouvrir une recession (CHF 800-1'500 par site)
- Frenectomie : section d'un frein labial trop court qui tire la gencive (CHF 300-500)
7. Extraction et remplacement
Au stade terminal, quand l'os est tellement detruit qu'aucun traitement ne peut sauver la dent, l'extraction est inevitable. Elle est ensuite remplacee par un implant (CHF 3'500-6'500), un bridge (CHF 1'800-4'500) ou une prothese amovible. Soigner ses gencives a temps coute donc 10 a 20 fois moins cher que le traitement final.
Prix a Geneve (CHF)
Voici une grille indicative des tarifs pratiques en ville de Geneve, sur la base du tarif dentaire suisse SSO (point a CHF 5,55 a 6,50). Les prix peuvent varier de plus ou moins 20 % selon le cabinet, l'experience du praticien et la complexite du cas.
| Acte | Prix Geneve | Notre cabinet |
|---|---|---|
| Consultation et diagnostic parodontal | CHF 100-180 | CHF 150 |
| Detartrage standard | CHF 150-250 | CHF 180 |
| Bilan parodontal complet (charting + radio) | CHF 180-280 | CHF 200 |
| Surfacage radiculaire (1 quadrant) | CHF 80-150 | CHF 120 |
| Surfacage complet (4 quadrants) | CHF 320-600 | CHF 480 |
| Antibiotique local en poche | CHF 60-120 | CHF 80 |
| Drainage d'abces parodontal | CHF 150-300 | CHF 200 |
| Lambeau d'assainissement (par quadrant) | CHF 600-1'200 | Sur devis |
| Greffe gingivale | CHF 800-1'500 | Sur devis |
| Maintenance parodontale (suivi) | CHF 150-250 | CHF 180 |
| Supplement urgence dimanche/feries | CHF 30-65 | CHF 45 |
LAMal et maladies parodontales
La LAMal (assurance de base) ne rembourse pas les soins parodontaux courants, sauf cas particuliers : maladie systemique grave (VIH, leucemie, immunodepression severe) ou consequence d'un accident. Une assurance dentaire complementaire (Helsana, Visana, Sanitas, Concordia, Swica, Groupe Mutuel) couvre generalement 50 a 75 % des frais parodontaux jusqu'a un plafond annuel de CHF 1'000 a CHF 3'000 selon le contrat.
Notre cabinet fournit toujours un devis ecrit avant tout traitement superieur a CHF 300 pour vous permettre de verifier votre couverture aupres de votre assurance. Possibilite de paiement en plusieurs fois pour les plans de traitement longs.
Prevention quotidienne
La prevention de la gingivite et de la parodontite repose sur 3 piliers indissociables : brossage efficace, fil dentaire ou brossettes, et controle professionnel regulier. Aucun ne peut remplacer les autres.
Brossage : 2 minutes, 2 fois par jour
C'est la regle d'or. 2 minutes, 2 fois par jour (matin apres le petit-dejeuner et soir avant le coucher). Avec une brosse souple ou electrique a pression controlee. Technique a privilegier : la methode de Bass modifiee (brosse a 45 degres sur la jonction dent-gencive, petits mouvements vibratoires de 10 secondes par zone, puis rouler de la gencive vers la dent).
Les brosses electriques (Oral-B, Philips Sonicare) sont scientifiquement plus efficaces que les manuelles, surtout pour les patients qui ont des difficultes motrices ou tendance a brosser trop fort. Choisissez une tete a brins doux et changez-la tous les 3 mois.
Fil dentaire ou brossettes interdentaires
Le brossage ne nettoie que 60 % des surfaces dentaires. Les 40 % restants (faces entre les dents) sont accessibles uniquement avec du fil dentaire ou des brossettes interdentaires. A faire 1 fois par jour, ideal le soir avant le brossage.

Les brossettes interdentaires (TePe, Curaprox, GUM) sont generalement plus efficaces que le fil chez les adultes avec des espaces visibles. Demandez conseil a votre dentiste pour la taille adaptee : trop petite, elle ne nettoie pas ; trop grande, elle blesse la gencive.
Hygieniste dentaire 2 fois par an
Meme avec une hygiene parfaite, du tartre se forme dans des zones inaccessibles (sous la gencive, surfaces postero-inferieures). Le passage chez l'hygieniste dentaire tous les 6 mois elimine ce tartre, depiste les premiers signes de maladie parodontale et permet un controle des techniques de brossage. CHF 150-250 par seance.
Habitudes complementaires
- Arret du tabac (le tabac multiplie par 3-7 le risque de parodontite)
- Reduction du sucre raffine et des grignotages frequents
- Hydratation suffisante (la salive est notre meilleur antiseptique naturel)
- Gestion du stress (le cortisol affaiblit l'immunite gingivale)
- Equilibre du diabete si concerne
- Apport suffisant en vitamine C et omega-3
Le lien parodontite, coeur et diabete
Soigner ses gencives n'est pas qu'une question d'esthetique ou de confort buccal. Depuis les annees 2000, des centaines d'etudes cliniques ont demontre que la parodontite chronique est un facteur de risque independant de plusieurs maladies systemiques majeures. C'est l'un des grands changements de paradigme de la medecine moderne.
Parodontite et maladies cardiovasculaires
Les patients atteints de parodontite severe ont un risque accru de 25 a 50 % d'infarctus du myocarde et d'accident vasculaire cerebral, selon les meta-analyses publiees dans le Journal of the American College of Cardiology (2018). Les mecanismes : passage des bacteries parodontales (notamment Porphyromonas gingivalis) dans la circulation sanguine, inflammation systemique chronique, formation de plaques d'atherome.
Parodontite et diabete
Relation bidirectionnelle bien etablie. Le diabete (type 1 et type 2) multiplie par 2-3 le risque de parodontite. Inversement, une parodontite mal controlee augmente l'HbA1c (hemoglobine glyquee) de 0,3 a 0,5 point en moyenne. Traiter la parodontite ameliore directement l'equilibre glycemique chez les diabetiques de type 2.
Parodontite et grossesse
Les femmes enceintes atteintes de parodontite ont un risque accru de 4-7 fois d'accouchement premature et de bebe de petit poids. Les hormones de grossesse exacerbent par ailleurs la reaction inflammatoire gingivale (gingivite gravidique), tres frequente au 2eme trimestre. Un detartrage en debut de grossesse est fortement recommande et sans danger pour le foetus.
Autres associations documentees
- Pneumonies par aspiration chez les personnes agees et hospitalisees
- Polyarthrite rhumatoide (lien inflammatoire)
- Maladie d'Alzheimer (presence de P. gingivalis dans le cerveau de patients)
- Cancers digestifs et pancreatiques (associations statistiques en cours d'etude)
- Maladies renales chroniques
La conclusion est claire : soigner ses gencives, c'est aussi soigner son coeur, son metabolisme et son systeme immunitaire. Vos gencives sont une fenetre ouverte sur votre sante generale.
FAQ - Questions frequentes
Une gencive gonflee est-elle toujours une urgence ?
Non, mais elle ne doit jamais etre ignoree. Une gencive legerement enflee qui saigne au brossage est generalement une gingivite reversible : consultez sous 7 jours. En revanche, gonflement de la joue, fievre, pus, douleur intense, ganglions enfles ou difficulte a avaler ou respirer sont des signes d'urgence absolue : consultez immediatement ou appelez le 144.
Combien de temps faut-il pour soigner une gencive gonflee ?
Une gingivite simple disparait en 7 a 14 jours avec un brossage correct, du fil dentaire et eventuellement un detartrage professionnel. Une parodontite necessite plusieurs seances de surfacage radiculaire sur 4 a 8 semaines. Un abces parodontal exige un drainage immediat et 5 a 7 jours d'antibiotiques.
Puis-je traiter une gencive gonflee a la maison sans dentiste ?
Vous pouvez calmer les symptomes (bains de bouche au sel ou a la chlorhexidine, brosse souple, antalgique), mais aucun traitement maison ne supprime la cause. La plaque bacterienne durcie en tartre ne s'enleve qu'avec un detartrage ultrasonique professionnel. Sans intervention dentaire, la gingivite progresse vers la parodontite et la perte des dents.
Faut-il arreter de brosser une gencive qui saigne ?
Non, c'est l'erreur la plus frequente. Le saignement est cause par l'inflammation, et l'inflammation est causee par la plaque qui s'accumule. Arreter le brossage aggrave le probleme. Il faut au contraire continuer a brosser doucement avec une brosse souple et passer le fil dentaire. Le saignement disparait generalement en 5 a 10 jours.
Combien coute un detartrage a Geneve ?
Un detartrage professionnel a Geneve coute entre CHF 150 et CHF 250 selon le cabinet et le degre de tartre. Notre cabinet le facture CHF 180. Le surfacage radiculaire (en cas de parodontite) coute CHF 80 a CHF 150 par quadrant, soit CHF 320 a CHF 600 pour la bouche entiere. La LAMal ne rembourse pas ces actes (sauf cas particuliers).
L'infection des gencives peut-elle affecter le coeur ?
Oui. Les recherches scientifiques ont demontre une association entre parodontite chronique et maladies cardiovasculaires (infarctus, AVC), diabete, naissances prematurees et certaines pneumonies. Les bacteries parodontales et les mediateurs inflammatoires passent dans la circulation sanguine. Soigner ses gencives est aussi un acte de sante generale.
Quels sont les signes d'un abces parodontal ?
Un abces parodontal se manifeste par un gonflement localise et tres douloureux d'une gencive, souvent rond et lisse, avec parfois une fistule (petit point qui laisse echapper du pus). La dent concernee peut bouger, faire mal a la pression et devenir sensible au chaud. Fievre, gout metallique et ganglions enfles sont frequents. Consultez en urgence dans les 24h.
Le bain de bouche a la chlorhexidine est-il dangereux ?
Non, mais il ne doit pas etre utilise plus de 14 jours d'affilee. Au-dela, il peut provoquer une coloration brune des dents (reversible au detartrage), une alteration temporaire du gout et un desequilibre de la flore buccale. C'est un traitement de "crise", pas un produit d'usage quotidien permanent.
Gencive gonflee ou infectee a Geneve ?
Notre cabinet recoit en urgence les patients avec gingivite aigue, parodontite ou abces parodontal. Sans rendez-vous 7j/7, diagnostic le jour meme, devis ecrit avant tout soin.
Rue du Conseil-Général 7, 1205 Genève, Suisse