
Dentiste d'Urgence a Geneve : Guide Complet 2026
Une rage de dents a 3 heures du matin, un plombage qui tombe en mangeant, une dent cassee par une chute le dimanche : les urgences dentaires n'attendent pas les horaires de cabinet. Ce guide explique exactement quoi faire, qui appeler, combien ca coute et quelles sont vos options a Geneve, a chaque heure du jour et de la nuit.
Nous avons compile les numeros officiels, les tarifs reels pratiques en ville, les regles de couverture LAMal et les gestes de premiers soins valides par la Societe suisse des medecins-dentistes (SSO). Ce guide est organise pour que vous puissiez aller directement a la section qui vous concerne : utilisez le sommaire ci-contre.
Qu'est-ce qu'une urgence dentaire ?
Une urgence dentaire est toute condition buccale qui necessite une prise en charge rapide pour soulager une douleur intense, stopper un saignement, traiter une infection en progression ou sauver une dent fragilisee. Toutes les situations inconfortables ne sont pas des urgences : savoir faire la difference vous evitera des frais supplementaires et du stress inutile.
Selon l'American Dental Association et la litterature medicale (Dental Traumatology, 2020), environ 22 % des adultes experimentent au moins une urgence dentaire dans leur vie, et les traumatismes dentaires touchent 1 enfant sur 4 avant l'age de 14 ans. A Geneve, les cabinets specialises recoivent entre 15 et 40 cas d'urgence par semaine.
Est-ce vraiment une urgence ?
Repondez a ces trois questions :
- 1.La douleur vous empeche-t-elle de dormir, de manger ou de vous concentrer ?
- 2.Y a-t-il un saignement qui ne s'arrete pas apres 15 minutes de compression ?
- 3.Voyez-vous un gonflement, de la fievre ou du pus ?
Si oui a l'une de ces questions : c'est une urgence. Si non, vous pouvez probablement attendre un rendez-vous dans les 48 heures.
Les urgences ignorees ou reportees se transforment souvent en problemes beaucoup plus couteux : un abces non traite peut se propager a la machoire (osteite) ou au cou (cellulite cervicale), une dent cassee non stabilisee peut necessiter une extraction puis un implant (CHF 3'500 a CHF 6'500) au lieu d'une simple reconstitution (CHF 250). La regle est simple : au moindre doute, appelez.
Numeros utiles a Geneve
Enregistrez ces numeros dans votre telephone maintenant, avant d'en avoir besoin. En situation d'urgence, chaque minute compte et chercher un numero sur Google quand on a mal est la derniere chose qu'on a envie de faire.
| Service | Numero | Horaires |
|---|---|---|
| Dentiste Urgence Geneve | 078 258 55 84 | 7j/7 - 8h-21h sem., 9h-18h sam., 10h-16h dim. |
| SOS Dentistes Geneve | 022 735 73 11 | Permanence soirs, weekends, feries |
| HUG - Urgences | 022 372 33 11 | 24/7 (traumatismes graves, fievre) |
| SMUR / Urgences vitales | 144 | 24/7 (traumatisme facial, hemorragie) |
| Centrale medecins de garde | 0848 134 134 | 24/7 (orientation medicale) |
| Pharmacie de garde Geneve | 144 ou pharmaciegeneve.ch | Rotation quotidienne |
| Toxicologie (Tox Info) | 145 | 24/7 (ingestion, produits) |
Les Hopitaux Universitaires de Geneve (HUG) disposent d'une division de medecine dentaire a la Clinique de medecine dentaire (Rue Barthelemy-Menn 19, 1205 Geneve) qui prend en charge les urgences graves, mais les consultations dentaires courantes sont traitees plus rapidement (et souvent a prix egal) dans les cabinets prives d'urgence.
Dentiste, HUG ou pharmacie ? Le bon choix
Beaucoup de patients perdent du temps en allant au mauvais endroit. Voici la regle de decision utilisee par les medecins urgentistes genevois.

| Situation | Ou aller en premier | Delai cible |
|---|---|---|
| Rage de dents, sensibilite intense | Dentiste d'urgence | Meme jour |
| Dent cassee sans douleur | Dentiste d'urgence | 24-48h |
| Dent expulsee (arrachee) | Dentiste d'urgence | 30 minutes |
| Abces avec fievre et gonflement | Dentiste ou HUG | Immediat |
| Traumatisme facial + dent | HUG (urgences) | Immediat |
| Hemorragie apres extraction | Dentiste puis HUG | Immediat |
| Douleur moderee sans gonflement | Pharmacie + RDV | 48-72h |
| Plombage ou couronne tombe | Dentiste d'urgence | 24-48h |
Les pharmacies de Geneve peuvent delivrer certains antalgiques (paracetamol 1 g, ibuprofene 400 mg) sans ordonnance et vous orienter, mais ne traitent jamais la cause. Les antibiotiques restent sous ordonnance stricte. Utilisez la pharmacie comme relais en attendant le dentiste, jamais comme alternative.
Les HUG sont la bonne adresse quand il y a une composante medicale (traumatisme crânien, saignement non maitrisable, infection avec septicemie, reaction allergique). Pour une simple rage de dents, l'attente aux urgences generales est souvent de 3 a 6 heures, contre 20 a 40 minutes dans un cabinet prive d'urgence.
Les 8 types d'urgences dentaires
Voici les huit situations qui representent plus de 90 % des consultations d'urgence vues dans les cabinets genevois, classees par frequence.

1. Rage de dents (douleur intense)
La pulpite aigue est la premiere cause de consultation d'urgence dentaire. Elle survient quand la pulpe (nerf) d'une dent s'inflamme a cause d'une carie profonde, d'une fracture ou d'un traumatisme. Douleur lancinante, pulsatile, souvent aggravee au chaud et la nuit. Ne passe pas avec du paracetamol. Necessite un diagnostic dans les 24 heures.
2. Dent cassee ou fracturee
Peut survenir en mangeant quelque chose de dur (noyau, glace, os), suite a un choc ou a cause d'une dent devitalisee fragilisee. La gravite depend de la profondeur : email seul (indolore), dentine (sensibilite), pulpe exposee (douleur vive), racine (extraction probable). Une radiographie est systematique pour evaluer la racine. Voir notre guide dedie : Dent Cassee : Que Faire ? Guide d'Urgence Complet.
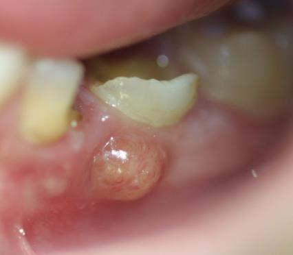
3. Abces dentaire
Infection bacterienne qui se developpe a la base d'une dent (abces periapical) ou dans la gencive (abces parodontal). Signes : gonflement localise, pus, douleur pulsatile, parfois fievre et ganglions. Un abces non traite peut se propager au sinus maxillaire, a la machoire, voire au cou (angine de Ludwig, potentiellement mortelle). Consultation dans les 24 heures maximum. Voir notre guide dedie : Abces Dentaire : Urgence, Symptomes et Traitement.

4. Dent expulsee (avulsion)
La dent a ete completement arrachee de son alveole, souvent suite a un choc. Urgence absolue. Les chances de sauver la dent diminuent de 1 % par minute passe la premiere heure. Ramassez la dent par la couronne, conservez-la dans du lait ou votre salive et foncez chez un dentiste. Si l'alveole est propre, vous pouvez la replanter vous-meme immediatement et appuyer. Voir notre protocole complet de reimplantation en 30 minutes pour le detail des gestes, milieux de conservation et suites post-soin.
5. Plombage tombe
Moins grave que les autres situations mais inconfortable : la dent devient tres sensible au froid/chaud et au sucre. La cavite exposee peut se contaminer rapidement. Consultation sous 24-48 heures. En attendant, vous pouvez appliquer un materiau temporaire (disponible en pharmacie, marque Cavit ou equivalent) et eviter de mastiquer sur cette dent. Voir notre guide detaille : Plombage tombe : que faire et quand consulter.
6. Couronne tombee
Si la couronne est intacte, conservez-la dans un petit sachet propre : votre dentiste pourra souvent la recoller (colle dentaire, 20-30 minutes, CHF 150-250). Si le moignon sous la couronne est casse ou carie, une nouvelle couronne sera necessaire (CHF 1'200-2'500). Ne tentez jamais de recoller vous-meme avec de la colle forte ou cyanoacrylate.
7. Saignement ou traumatisme des gencives
Coupure, morsure accidentelle, choc sur la gencive ou persistance d'un saignement post-extraction. Appliquez une compression avec une gaze propre pendant 15 minutes. Si le saignement persiste ou si la coupure fait plus de 1 cm, consultation urgente. Les gingivites aigues avec saignement spontane et les gencives gonflees ou infectees necessitent aussi un avis professionnel, surtout en cas de pus, fievre ou gonflement de la joue.
8. Traumatisme dentaire (coup, chute, sport)
Une dent qui "bouge", une dent enfoncee dans la gencive (intrusion), une dent deplacee sur le cote (luxation) necessitent un avis dentaire dans les 2 a 4 heures. Meme si la dent semble intacte en apparence, un choc peut devitaliser le nerf a retardement (necrose pulpaire, visible a la radiographie 3 a 6 mois apres). Un controle systematique est indispensable apres tout traumatisme dentaire.
Premiers soins pour chaque urgence
Ces gestes simples, realises dans les minutes qui suivent l'incident, peuvent faire la difference entre sauver une dent et la perdre, ou entre soulager une douleur et finir a l'hopital.

| Situation | A faire immediatement | A eviter absolument |
|---|---|---|
| Rage de dents | Ibuprofene 400 mg, rincage eau salee tiede, froid sur la joue | Aspirine sur la gencive (brulure chimique), chaleur |
| Dent cassee | Ramasser le morceau, conserver dans du lait, consulter | Recoller, mastiquer sur cette dent |
| Abces | Rincage eau salee, antalgique, consultation 24h | Percer l'abces soi-meme, chaleur, antibiotique sans ordonnance |
| Dent expulsee | Ramasser par la couronne, rincer, replanter ou lait, 30 min max | Frotter la racine, eau de Javel, lingette |
| Plombage tombe | Cavit temporaire (pharmacie), ne pas mastiquer | Colle forte, chewing-gum a l'interieur |
| Couronne tombee | Conserver la couronne, recollage par dentiste | Super-glue, mastiquer du cote concerne |
| Saignement gencive | Compression gaze 15 min, sachet de the noir | Aspirine, alcool, rincage vigoureux |
| Traumatisme | Froid, consultation meme sans douleur apparente | Ignorer ("ca va aller"), attendre plusieurs jours |
A retenir : les 3 minutes qui sauvent une dent expulsee
- Ramassez la dent par la couronne, jamais la racine
- Rincez 10 secondes a l'eau froide sans frotter
- Replantez-la dans l'alveole ou mettez-la dans du lait / serum physiologique / votre salive (pas d'eau)
Puis appelez un dentiste et partez immediatement. Vous avez 30 minutes avant que les chances chutent.
Centre Dentaire d'Urgence a Geneve
Un centre dentaire d'urgence se distingue d'un cabinet classique par trois elements : des horaires etendus (tot le matin, tard le soir, weekend), une equipe formee a la gestion du stress et de la douleur aigue, et un equipement complet (radiographie panoramique, chaises multiples, salle de chirurgie) permettant de traiter la plupart des cas en une seule visite.

A Geneve, on compte environ 15 centres et cabinets qui se declarent "centre d'urgence dentaire" ou "permanence dentaire". Tous ne se valent pas. Les criteres a verifier avant de vous deplacer :
- Dentiste MD/DMD membre SSO (Societe Suisse des Medecins-Dentistes) : garantie de formation et de code de deontologie
- Numero facilement joignable, ideallement avec reponse humaine (pas un repondeur)
- Horaires affiches precisement, y compris dimanche et feries
- Tarifs transparents selon la grille Tarmed/SSO (point a CHF 1.00 a 1.20)
- Devis ecrit obligatoire pour tout traitement depassant CHF 300
- Radiographie numerique sur place (evite un aller-retour)
- Accessibilite transports publics et parking
Notre cabinet Dentiste Urgence Geneve est situe au Rue du Conseil-Général 7, 1205 Genève, Suisse, quartier Jonction-Plainpalais, a 5 minutes de la gare Cornavin et desservi par les trams 14, 15 et 18. Ouvert 7j/7 : 8h-21h en semaine, 9h-18h le samedi, 10h-16h le dimanche. Pour un rendez-vous immediat, appelez le 078 216 67 26.
Clinique d'Urgence Dentaire : comment choisir
Les termes "cabinet", "centre" et "clinique dentaire d'urgence" sont souvent utilises de maniere interchangeable a Geneve, mais il existe des differences subtiles. Une clinique d'urgence dentaire designe generalement une structure plus grande (4+ chaises, plusieurs praticiens, specialistes sur place) avec des capacites de chirurgie orale et parfois d'anesthesie legere (MEOPA).
| Critere | Cabinet prive | Clinique dentaire | HUG / hopital |
|---|---|---|---|
| Nombre de chaises | 1-2 | 4-10+ | Service complet |
| Rapidite d'accueil | Tres rapide | Rapide | Lente (3-6h) |
| Tarif consultation | CHF 150-250 | CHF 180-300 | CHF 250-450 |
| Horaires nuit/dim. | Variable | Permanence | 24/7 |
| Chirurgie orale | Simple | Complete | Complete + maxillo |
| Suivi long terme | Personnalise | Equipe | Limite |
Pour une urgence courante (rage de dents, dent cassee, abces simple), un bon cabinet prive d'urgence est l'option la plus rapide, la plus confortable et souvent la moins chere. La clinique ou l'hopital ne se justifient que pour les cas complexes (chirurgie lourde, patient polypathologique, traumatisme grave).
Nuit, weekend et jours feries
Environ 35 % des urgences dentaires surviennent en dehors des heures d'ouverture classiques. Voici les options disponibles a Geneve selon le moment. Pour un guide detaille specifiquement sur la garde dentaire genevoise (horaires exacts, supplements de nuit, transports, communes), consultez notre article dedie : Dentiste de Garde Geneve : Horaires Nuit et Week-end.
| Creneau | Options | Supplement typique |
|---|---|---|
| Soir (18h-21h) | Cabinets prives d'urgence (tarif normal) | CHF 0-25 |
| Nuit (21h-8h) | SOS Dentistes + HUG (cas graves) | CHF 65-100 |
| Samedi | Cabinets d'urgence (nombreux ouverts) | CHF 25-45 |
| Dimanche | Permanences + HUG | CHF 45-80 |
| Jours feries (1er aout, Noel, Paques) | Permanence + HUG | CHF 50-100 |
Astuce : le dimanche matin est le creneau le plus demande (patients qui ont souffert samedi et veulent regler le probleme avant lundi). Si votre urgence peut attendre l'apres-midi ou le lundi matin tot, vous aurez un meilleur creneau et moins de supplement.
Les jours feries officiels genevois sont : 1er janvier, 2 janvier (Berchtold), Vendredi saint, lundi de Paques, Ascension, lundi de Pentecote, 1er aout (fete nationale), Jeune genevois (jeudi suivant le premier dimanche de septembre), Noel, 31 decembre (Restauration). Les permanences dentaires s'organisent en rotation : le plus simple est d'appeler un cabinet d'urgence qui vous orientera.
Couts d'une urgence dentaire en CHF
Les tarifs dentaires en Suisse sont calcules sur le systeme Tarmed dentaire : chaque acte vaut un certain nombre de "points", et la valeur du point varie entre CHF 1.00 et CHF 1.20 selon le cabinet (ce qui peut faire une difference de 20 % sur un traitement). Voici les fourchettes reelles a Geneve en 2026.

| Acte | Fourchette CHF | Inclus |
|---|---|---|
| Consultation d'urgence | 150 - 300 | Examen, radio, diagnostic, ordonnance |
| Radiographie retro-alveolaire | 35 - 60 | Une dent |
| Radiographie panoramique | 100 - 180 | Vue globale |
| Plombage composite (1 face) | 180 - 350 | Selon taille et dent |
| Plombage composite (3 faces) | 350 - 600 | Reconstitution complexe |
| Extraction simple | 200 - 400 | Anesthesie, acte, conseils |
| Extraction dent de sagesse | 400 - 900 | Selon position et difficulte |
| Traitement de canal (monoradicule) | 600 - 900 | Incisives / canines |
| Traitement de canal (multiradicule) | 900 - 1'600 | Molaires |
| Drainage d'abces | 150 - 350 | Acte + suivi |
| Couronne definitive | 1'200 - 2'500 | Selon materiau (ceramique, zircone) |
| Couronne provisoire d'urgence | 250 - 500 | Jour meme, resine |
| Recollage couronne existante | 150 - 280 | Si moignon intact |
| Reimplantation dent avulsee | 400 - 800 | Acte + contention + suivi |
| Attelle de contention | 250 - 500 | Post-traumatisme, 2-6 semaines |
Exemples de factures typiques a Geneve :
- Rage de dents + traitement de canal complet : CHF 1'000 a 1'900 (consult + radio + endo + reconstitution)
- Dent cassee + couronne : CHF 1'400 a 2'800 (consult + radio + moignon + couronne provisoire + couronne definitive)
- Abces + extraction + antibiotique : CHF 400 a 800 (consult + drainage + extraction + ordonnance)
- Plombage tombe : CHF 250 a 500 (consult + radio + plombage composite)
- Recollage de couronne : CHF 200 a 400 (consult + recollage)
Tous les cabinets serieux vous fournissent un devis ecrit avant tout traitement depassant CHF 300 (obligation deontologique SSO). Si un dentiste refuse le devis, c'est un signal d'alerte : changez de cabinet. Pour une analyse complete des couts, du systeme TARDOC et de la couverture des assurances, consultez notre guide detaille du cout d'une urgence dentaire en Suisse.
LAMal et assurances dentaires
La LAMal (Loi federale sur l'assurance-maladie) est l'assurance de base obligatoire en Suisse. En regle generale, elle ne couvre PAS les soins dentaires. C'est une difference majeure avec la France (Securite sociale) ou d'autres systemes europeens.
L'art. 31 LAMal definit trois exceptions limitees ou la LAMal prend en charge les soins dentaires :
- Maladies graves et non evitables du systeme masticatoire : kystes, tumeurs, maladies rares, anomalies du developpement (fentes labio-palatines, dysplasies)
- Maladies graves ayant des effets sur l'appareil masticatoire : leucemie, SIDA en phase avancee, certaines maladies rares, pathologies des glandes salivaires
- Traitements rendus necessaires par une autre maladie grave ou ses consequences : par exemple radiotherapie cervicale, chimiotherapie, transplantation
Les urgences dentaires courantes NE SONT PAS couvertes par la LAMal : rage de dents, carie, abces simple, dent cassee en mangeant, plombage tombe, extraction de routine. Vous payez integralement.
Accident : la SUVA ou votre assurance accident paie
Si l'urgence dentaire resulte d'un accident (chute, choc, sport, accident de travail, accident de la route), ce n'est pas la LAMal mais votre assurance accident (SUVA pour les salaries, assurance privee ou LAA) qui prend en charge l'integralite des soins dentaires. Declarez l'accident dans les 24 heures a votre employeur ou a votre assureur et conservez precieusement tous les justificatifs.
Assurance complementaire dentaire (LCA)
Pour etre couvert sur les urgences dentaires en dehors des accidents, il faut une assurance complementaire dentaire privee (LCA : Loi sur le contrat d'assurance). Les principales offres a Geneve :
- CSS Dental+ : remboursement 50-75 % jusqu'a CHF 1'500-5'000/an selon le niveau
- Helsana Dental : forfaits de CHF 1'000 a CHF 7'500/an
- Groupe Mutuel Dent Vita : 50-80 % jusqu'a CHF 5'000/an
- Visana Dental : modules flexibles de CHF 500 a CHF 6'000/an
- Swica Completa Dental : jusqu'a CHF 10'000/an sur les formules haut de gamme
Attention : les assurances dentaires appliquent souvent un delai de carence (3 a 12 mois) avant remboursement des soins non urgents et demandent un examen initial d'admission. Les soins deja existants ou connus au moment de la souscription sont exclus. Comparez les contrats sur comparis.ch ou bonus.ch.
Que faut-il apporter au rendez-vous ?
Pour gagner du temps et eviter les mauvaises surprises, preparez ces documents et informations avant de partir pour votre rendez-vous d'urgence :

Documents administratifs
- Carte d'identite ou permis suisse
- Carte d'assurance maladie (LAMal)
- Carte d'assurance complementaire dentaire si existe
- Declaration d'accident si applicable (pour la SUVA)
- Carte de credit / TWINT pour le paiement
Infos medicales
- Liste de vos medicaments en cours
- Allergies connues (anesthesiques, antibiotiques, latex)
- Pathologies chroniques (diabete, cardio, immuno)
- Radiographies dentaires anterieures si disponibles
- Nom de votre dentiste habituel (pour transfert de dossier)
Si vous prenez des anticoagulants
Sintrom, Xarelto, Eliquis, Pradaxa, aspirine cardiologique : prevenez obligatoirement le dentiste des l'accueil. Certains actes chirurgicaux (extraction, drainage) peuvent necessiter un ajustement du traitement en coordination avec votre medecin traitant. Ne stoppez JAMAIS un anticoagulant de votre propre initiative.
Si vous avez recupere un fragment de dent ou une couronne tombee, apportez-le dans un petit sachet hermetique ou une boite propre. Pour une dent expulsee, conservez-la dans du lait ou votre salive pendant le trajet.
Si un accompagnant peut venir, c'est ideal : certains actes (extraction, sedation) rendent deconseille de conduire apres. Pensez-y si vous envisagez une intervention le jour meme.
Prevenir les urgences dentaires
La meilleure urgence dentaire est celle qu'on evite. Selon les etudes de sante publique suisses (OFSP), environ 70 % des urgences dentaires sont la consequence de problemes connus mais non traites (caries profondes, gingivites, bruxisme ignore).
Les 7 regles de prevention
- Controle annuel chez le dentiste (2x/an pour les porteurs de couronnes/implants/bridge)
- Detartrage professionnel tous les 6-12 mois selon votre risque
- Brossage 2x/jour, 2 minutes, methode Bass ou brosse electrique a pression contro
- Fil dentaire quotidien ou brossettes interdentaires (plus efficaces contre la carie proximale)
- Gouttiere de sport pour les pratiquants de hockey, boxe, rugby, VTT, arts martiaux
- Gouttiere occlusale si vous grincez des dents (bruxisme)
- Ne reportez jamais une carie connue : CHF 300 aujourd'hui vaut mieux que CHF 2'000 dans 6 mois
Les habitudes a eviter : ouvrir des bouteilles ou des emballages avec les dents, croquer des glacons ou des bonbons durs, utiliser les dents comme outil, consommer boissons sucrees/acides entre les repas, fumer (augmente le risque d'abces et de parodontite).
Kit de premiers soins dentaires maison
Gardez ces elements dans votre pharmacie :
- Paracetamol 1 g et ibuprofene 400 mg
- Cavit ou Dentemp (ciment temporaire en pharmacie)
- Bain de bouche antiseptique (chlorhexidine 0.12 %)
- Compresses steriles
- Cire orthodontique (si porteur de bagues)
- Les numeros d'urgence dans votre telephone
FAQ - Questions frequentes
Quel numero appeler pour une urgence dentaire la nuit a Geneve ?
Appelez le 078 216 67 26 pour un dentiste de garde a Geneve, ou SOS Dentistes au 022 735 73 11 (permanence soir et weekend). Pour une urgence medicale associee (traumatisme facial, fracture, infection grave avec fievre), contactez les HUG au 022 372 33 11 ou composez le 144.
Combien coute une consultation d'urgence dentaire a Geneve ?
Une consultation d'urgence dentaire a Geneve coute entre CHF 150 et CHF 300 selon l'heure et le cabinet. Comptez +CHF 65 pour la nuit (20h-8h) et +CHF 45 pour dimanche et jours feries. Les soins associes (plombage, extraction, antibiotique) s'ajoutent : CHF 200 a CHF 800 selon la complexite.
La LAMal rembourse-t-elle une urgence dentaire ?
La LAMal (assurance de base) ne rembourse les soins dentaires que dans des cas tres limites : maladies graves et inevitables du systeme masticatoire, consequences d'accidents, ou maladies graves ayant un effet sur les dents. Les urgences courantes (rage de dents, abces simple, dent cassee en mangeant) ne sont PAS couvertes. Seule une assurance complementaire dentaire privee peut prendre en charge ces frais.
Que faire si une dent est completement arrachee ?
Ramassez la dent par la couronne (partie blanche), jamais par la racine. Rincez-la brievement sous l'eau froide sans frotter. Replantez-la immediatement dans l'alveole si possible, sinon conservez-la dans du lait, du serum physiologique ou votre salive. Consultez un dentiste dans les 30 minutes maximum : passe ce delai, les chances de reimplantation diminuent fortement.
Quels sont les signes d'un abces dentaire urgent ?
Les signes d'un abces dentaire necessitant une consultation urgente : douleur pulsatile intense qui s'aggrave, gonflement de la joue ou de la gencive, gout metallique ou purulent dans la bouche, sensibilite au chaud, fievre, ganglions enfles, difficulte a avaler ou a ouvrir la bouche. Un abces peut se propager a la machoire ou au cou et devenir dangereux : consultez dans les 24 heures maximum.
Ou trouver un dentiste d'urgence sans rendez-vous a Geneve le dimanche ?
Plusieurs options a Geneve le dimanche : SOS Dentistes Geneve (022 735 73 11), la permanence dentaire de l'Hopital de la Tour a Meyrin, et certains cabinets prives comme Dentiste Urgence Geneve ouverts 7j/7 (10h-16h le dimanche). La plupart facturent un supplement dimanche d'environ CHF 45. Appelez toujours avant de vous deplacer pour confirmer la disponibilite.
Puis-je prendre des antibiotiques avant de voir le dentiste ?
Non, sauf prescription medicale. Les antibiotiques ne sont delivres que sur ordonnance en Suisse. Prendre un reste d'antibiotique d'une ancienne prescription est dangereux : dose incorrecte, mauvais spectre, risque de resistance bacterienne. La bonne attitude : antalgique (paracetamol ou ibuprofene), rincage eau salee tiede, consultation dans les 24 heures.
Est-ce qu'une rage de dents peut passer toute seule ?
La douleur peut s'estomper temporairement si le nerf "meurt" (necrose pulpaire), mais l'infection reste et s'aggrave silencieusement. Une rage de dents qui semble "guerir" sans traitement est trompeuse : l'infection migre vers l'os puis les tissus environnants et evolue en abces. Consultez toujours, meme si la douleur diminue.
Besoin d'un dentiste d'urgence maintenant ?
Notre cabinet accueille les patients sans rendez-vous 7 jours sur 7, de 8h a 21h en semaine. Appelez maintenant, parlez a une personne reelle, obtenez un creneau dans l'heure.
Rue du Conseil-Général 7, 1205 Genève, Suisse