
Plombage Tombe : Que Faire et Quand Consulter
Vous mordez dans un sandwich, et soudain vous sentez un petit bout dur sous la langue : votre plombage vient de tomber. Vous le tenez dans la main, vous passez la langue dans la cavite, et la grande question arrive : est-ce une urgence ? Faut-il foncer aux urgences dentaires ou attendre lundi ? Ce guide repond a tout.
Spoiler : dans 9 cas sur 10, ce n'est pas une vraie urgence. Mais il y a des regles claires a connaitre, des gestes a faire dans l'heure et un delai maximum a ne pas depasser. Ce guide explique exactement quoi faire, quels materiaux existent, combien ca coute a Geneve, et quand il faut vraiment courir chez le dentiste.
Plombage tombe : panique ou pas ?
Un plombage qui tombe est l'un des incidents dentaires les plus frequents : selon les statistiques de la Societe suisse des medecins-dentistes (SSO), environ 15 a 20 % des plombages en composite necessitent un remplacement avant 10 ans, et la chute pure et simple represente la deuxieme cause de remplacement (apres la carie secondaire).
Selon l'article Wikipedia sur la restauration dentaire, un plombage (terme technique : obturation ou restauration directe) est un materiau place dans une cavite preparee pour remplacer la structure dentaire detruite par la carie ou un traumatisme. C'est l'acte le plus courant de la dentisterie : un dentiste genevois en realise en moyenne 15 a 25 par semaine.
La bonne nouvelle : la perte d'un plombage est un evenement gerable. La mauvaise : si vous l'ignorez, elle peut tres rapidement degenerer en probleme bien plus serieux et bien plus couteux. Ce guide vous donne le mode d'emploi exact, etape par etape.
Pourquoi un plombage tombe
Un plombage ne tombe jamais "par hasard". Il y a toujours une cause precise. Identifier la bonne est important car cela determine le traitement futur.

1. Usure normale et fatigue du materiau
C'est la cause numero 1. Un plombage est soumis a des centaines de cycles de mastication par jour, des variations thermiques (cafe chaud + glace), des aliments acides (vin, jus d'orange, vinaigre) et des contraintes mecaniques. Avec le temps, le materiau se contracte, se dilate, se fissure micro-mecaniquement et finit par se desolidariser de la dent. Apres 10-15 ans, c'est statistiquement attendu pour un composite.
2. Carie secondaire (sous le plombage)
Une nouvelle carie peut se developper a la jonction entre le plombage et la dent (interface) si l'hygiene est insuffisante ou si le plombage n'etait plus parfaitement etanche. La carie progresse silencieusement SOUS le plombage, creuse la dent, et finit par "lacher" le plombage qui n'a plus rien a quoi s'accrocher. C'est la deuxieme cause la plus frequente, et la plus piegeuse car indolore au depart.
3. Fracture de la dent ou du plombage
Mordre quelque chose de tres dur (noyau d'olive, glace, os, bonbon dur, noix) peut casser le plombage ou la dent qui le retient. Le bruxisme nocturne (grincement de dents) est une cause majeure souvent ignoree : il applique des forces enormes (jusqu'a 800 N, soit 80 kg) sur les surfaces occlusales et fissure les plombages anciens. Les patients qui grincent des dents perdent leurs plombages 30 a 50 % plus vite que la moyenne.
4. Mauvais collage initial
Un plombage en composite tient grace a un protocole de collage adhesif tres precis : mordancage a l'acide phosphorique 30 sec, rincage, sechage controle, application d'un primer puis d'un adhesif, photopolymerisation, mise en place du composite par couches de 2 mm photopolymerisees une a une. Si une seule etape est mal realisee (humidite residuelle, temps de polymerisation insuffisant, contamination salivaire), l'adhesion est compromise. Un plombage qui tombe avant 2-3 ans suggere souvent un probleme de protocole.
5. Dent devitalisee fragilisee
Une dent qui a subi un traitement de canal devient plus cassante (la dentine perd 14 % de son humidite). Si la cavite est large et qu'on s'est contente d'un simple plombage au lieu d'une couronne ou d'un onlay, le risque de fracture est multiplie par 3 a 5. C'est pour cela que les dentistes recommandent souvent une couronne apres devitalisation.
Est-ce une urgence ?
Reponse courte : non, sauf cas particuliers. Un plombage tombe est inconfortable mais rarement une urgence vitale. Vous pouvez en general attendre 1 a 2 semaines un rendez-vous standard. Voici la grille de decision precise utilisee par les dentistes urgentistes a Geneve.
| Symptome | Niveau | Delai |
|---|---|---|
| Aucune douleur, pas de saignement | Pas urgent | 1 a 2 semaines |
| Sensibilite legere au froid/chaud | Pas urgent | 3 a 7 jours |
| Bord coupant qui blesse la langue/joue | Inconfortable | 2 a 5 jours |
| Douleur moderee a la mastication | A consulter | 2 a 3 jours |
| Douleur lancinante, pulsatile | URGENCE | 24-48 heures |
| Pulpe (chair rose-rouge) visible | URGENCE | Le jour meme |
| Saignement persistant dans la cavite | URGENCE | Le jour meme |
| Gonflement de la joue ou gencive | URGENCE | Le jour meme |
Test rapide : "Est-ce que je dois appeler maintenant ?"
Repondez a ces 4 questions :
- 1.Avez-vous une douleur qui persiste plus de 30 minutes ?
- 2.Voyez-vous du tissu rose-rouge au fond du trou ?
- 3.La gencive autour de la dent est-elle gonflee ?
- 4.Avez-vous de la fievre ou un mauvais gout dans la bouche ?
Si OUI a l'une d'elles : appelez un dentiste d'urgence aujourd'hui. Si NON aux quatre : prenez un rendez-vous standard dans la semaine.
Pour aller plus loin, consultez notre guide complet du dentiste d'urgence a Geneve, qui detaille les huit types d'urgences dentaires et les bons reflexes pour chacun.
Ce qu'il faut faire immediatement
Dans les 5 minutes qui suivent la chute du plombage, voici la sequence exacte a executer.
Etape 1 : Recuperer le plombage si possible
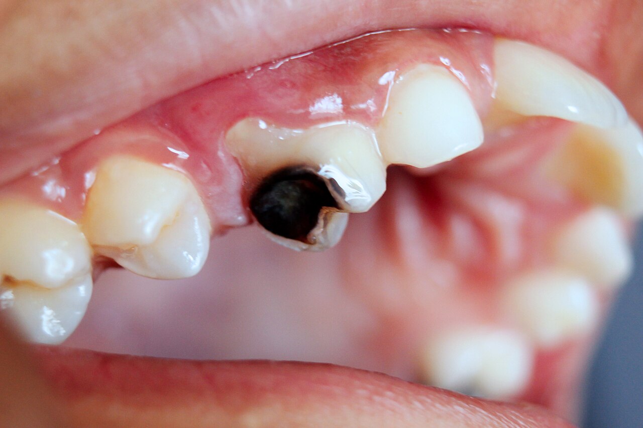
Crachez delicatement dans votre main ou un mouchoir. Inspectez le morceau : un plombage tombe est generalement de couleur grise (amalgame), blanc opaque (composite) ou jaune-or (or/ceramique). Si vous le retrouvez, gardez-le dans un petit sachet propre. Le dentiste ne le reposera pas (un plombage ne se "recolle" pas comme une couronne), mais il pourra l'examiner pour comprendre la cause de la chute. Si vous l'avez avale, ne paniquez pas : il transitera sans probleme dans les 24-48 heures.
Etape 2 : Rincer la bouche a l'eau tiede
Rincez doucement avec de l'eau tiede salee (1 cuillere a cafe de sel dans un verre d'eau) ou un bain de bouche antiseptique a la chlorhexidine 0.12 % (Eludril, Paroex, disponibles en pharmacie suisse). L'objectif : eliminer les debris alimentaires, reduire la charge bacterienne dans la cavite et apaiser la gencive si elle est irritee. Faites-le 2 a 3 fois par jour jusqu'a la consultation.
Etape 3 : Examiner la cavite
Devant un miroir, avec une bonne lampe, regardez le trou. Vous cherchez :
- Une cavite propre, beige ou jaune-clair : c'est de la dentine saine, tout va bien. Vous pouvez attendre.
- Une cavite noire ou tres brune au fond : carie secondaire avancee. Consultez sous 5-7 jours.
- Du tissu rose ou rouge vif au fond : pulpe exposee. Urgence : consultez le jour meme.
- Du sang qui suinte : urgence, consultez le jour meme.
Etape 4 : Brosser doucement (mais brosser !)
Beaucoup de patients ont peur de brosser autour de la dent et arretent l'hygiene. C'est une erreur. Continuez a brosser doucement avec une brosse souple en evitant de heurter directement la cavite, et utilisez un dentifrice fluore standard. La plaque dentaire qui s'accumule autour d'une cavite ouverte accelere la carie de maniere spectaculaire.
Etape 5 : Eviter de mastiquer sur cette dent
Mangez du cote oppose pendant les 1-2 semaines d'attente. Evitez les aliments tres durs (noix, pommes croquees a meme la dent, pain croustillant), tres collants (caramels, chewing-gums sucres) et les temperatures extremes (glaces, soupes brulantes). Un changement temporaire d'habitudes alimentaires evitera 90 % des complications.
Etape 6 : Antalgique si douleur
En cas de douleur legere ou moderee, prenez un paracetamol 1 g ou un ibuprofene 400 mg (sauf contre-indication : grossesse au 3e trimestre, antecedents d'ulcere, allergie). N'utilisez jamais d'aspirine appliquee directement sur la gencive : c'est une vieille legende qui provoque des brulures chimiques tres douloureuses.
Ce qu'il NE faut PAS faire
Les erreurs les plus frequentes que voient les dentistes genevois quand un patient arrive en consultation apres avoir "bricole" sa dent.
A NE JAMAIS faire
- 1. Ignorer le plombage tombe pendant plus de 2 semaines. C'est l'erreur n.1. La cavite exposee se contamine, la carie progresse, la pulpe s'enflamme. Ce qui aurait coute CHF 300 va couter CHF 1'500 a 2'500 (devitalisation + couronne).
- 2. Utiliser de la colle forte (Loctite, Super Glue, cyanoacrylate). Ces colles sont toxiques pour la pulpe, elles compliquent enormement le retraitement et sont impossibles a retirer proprement. Le dentiste devra meuler tout autour pour les eliminer.
- 3. Recoller le plombage avec du chewing-gum. Le chewing-gum n'adhere pas, il enferme les bacteries dans la cavite et accelere la carie. La rumeur populaire qui dit "un chewing-gum sugarless ca depanne" doit etre nuancee : c'est une protection MECANIQUE temporaire de quelques heures, jamais une solution.
- 4. Bourrer la cavite avec du coton, du papier, de la cire d'oreille ou tout autre objet. Tout ce qui entre dans la cavite et qui n'est pas un materiau dentaire propre va se contaminer et provoquer une infection.
- 5. Prendre des antibiotiques "preventifs" d'une ancienne ordonnance. Les antibiotiques ne soignent rien sur une cavite simple sans infection : ils n'ont aucune indication, ils favorisent la resistance bacterienne et masquent les symptomes utiles au diagnostic.
- 6. Mettre de l'aspirine directement sur la gencive. Cause des brulures chimiques (escarres) douloureuses, peut entrainer une necrose superficielle de la muqueuse.
- 7. Tenter de "creuser" ou "nettoyer" la cavite avec une aiguille ou un cure-dent. Vous risquez d'enfoncer des bacteries plus profondement et de blesser la pulpe.
La regle d'or : protegez, ne reparez pas vous-meme. Un plombage est un acte technique qui demande des annees de formation, des materiaux specifiques et du materiel sterilise. Tout bricolage maison se paye comptant chez le dentiste.
Solutions de protection temporaire
Si vous ne pouvez pas voir un dentiste tout de suite (week-end, voyage, agenda surcharge), voici les solutions de depannage classees par efficacite.
1. Ciment dentaire temporaire (la meilleure option)
Disponible en pharmacie suisse sans ordonnance pour CHF 15 a CHF 25. Marques courantes : Cavit (3M, le standard), Dentemp, Refilit. Ce sont des ciments oxyde de zinc-eugenol qui durcissent au contact de la salive en quelques minutes. Mode d'emploi :
- Lavez la dent et la cavite a l'eau tiede
- Sechez avec une compresse propre ou un coton
- Prenez une petite boulette de ciment (taille d'un grain de mais)
- Placez-la dans la cavite, appuyez doucement avec un doigt propre
- Mordez delicatement sur une compresse pendant 1 minute
- Ne mangez rien pendant 1 heure
- Tenue moyenne : 7 a 14 jours
2. Cire dentaire (pour les bords coupants)
La cire orthodontique (CHF 5-10 en pharmacie, vendue pour les patients porteurs de bagues) est utile si la cavite a des bords coupants qui blessent la langue ou la joue. Faites une petite boule de cire entre vos doigts pour la ramollir et placez-la sur le bord coupant. Cela ne protege pas la cavite contre les bacteries mais reduit la douleur mecanique.
3. Chewing-gum sans sucre (depannage de quelques heures)
Si vous etes en deplacement et n'avez vraiment rien d'autre : un chewing-gum sans sucre (xylitol de preference) bien malaxe peut etre place dans la cavite pour quelques heures. Cela bouche mecaniquement le trou et empeche les debris d'y entrer pendant un repas. Ce n'est PAS une solution durable, juste un depannage temporaire avant de trouver un ciment dentaire en pharmacie.
4. Bain de bouche regulier
En complement de toute autre protection, faites des bains de bouche a la chlorhexidine 0.12 % 2 a 3 fois par jour pendant 30 secondes. La chlorhexidine reduit drastiquement la flore bacterienne buccale et limite le risque de carie aigue ou d'infection pendant la periode d'attente. Disponible en pharmacie suisse a partir de CHF 12 le flacon.
Delai maximum avant consultation
Le delai cible est 1 a 2 semaines maximum. Au-dela, vous prenez des risques croissants jour apres jour. Voici l'evolution typique observee dans les cabinets genevois quand un patient repousse trop la consultation :
| Delai | Evolution probable | Cout estime |
|---|---|---|
| 0 a 7 jours | Cavite stable, dentine saine | CHF 200 - 400 |
| 2 a 3 semaines | Debut de carie secondaire, sensibilite | CHF 300 - 600 |
| 1 a 2 mois | Carie profonde, douleur intermittente | CHF 500 - 1'000 |
| 3 a 6 mois | Pulpe atteinte, devitalisation necessaire | CHF 1'200 - 2'000 |
| 6 mois a 1 an | Necrose, abces, couronne ou extraction | CHF 2'000 - 4'500 |
| Plus d'1 an | Extraction + implant | CHF 3'500 - 6'500 |
La regle est economique autant que medicale : chaque mois de retard multiplie le cout final. Un plombage repare a temps coute en moyenne 10 a 20 fois moins qu'un implant pose 18 mois plus tard sur la meme dent perdue.
Les traitements possibles
Selon l'etat de la dent au moment de la consultation, le dentiste proposera l'un des cinq traitements suivants, du plus simple au plus complexe.

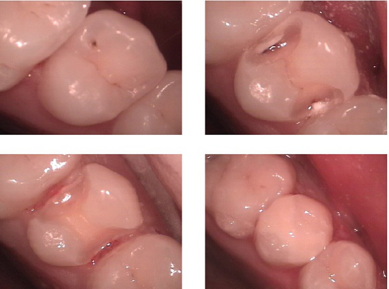
1. Remplacement simple par composite (60 % des cas)
Le scenario ideal : la cavite est propre, pas de carie secondaire, pas de fracture. Le dentiste nettoie, etanche, prepare la cavite, applique l'adhesif, place le composite par couches photopolymerisees, sculpte l'occlusion, polit. Duree : 30 a 60 minutes. Une seance suffit. Anesthesie locale legere si besoin. Cout : CHF 200 a CHF 450 selon le nombre de faces.
2. Inlay ou onlay en ceramique (20 % des cas)
Si la cavite est trop large pour un composite direct (plus de 50 % de la dent detruite), le dentiste prend une empreinte (numerique ou physique), et un laboratoire prothetique fabrique une piece sur-mesure en ceramique (ou parfois en composite indirect). C'est plus solide qu'un composite direct, plus esthetique, plus durable (15-20 ans). Necessite generalement 2 seances. Cout : CHF 800 a CHF 1'500.

3. Couronne (15 % des cas)
Si la dent est trop detruite ou fragilisee (apres une fracture, sur une dent devitalisee, ou apres plusieurs reprises de plombage), une couronne est la seule solution durable. Le dentiste prepare la dent en moignon, prend une empreinte, pose une couronne provisoire, et fait fabriquer une couronne definitive en ceramique (zircone, e.max) ou en metal-ceramique. Duree : 2 a 3 seances sur 2-3 semaines. Cout : CHF 1'200 a CHF 2'500 a Geneve.
4. Devitalisation (traitement de canal) + restauration
Si la pulpe a ete atteinte (douleur intense, exposition pulpaire, infection), il faut deviter la dent. Le dentiste anesthesie, ouvre la chambre pulpaire, retire le tissu nerveux, nettoie et desinfecte les canaux radiculaires, les obture avec un materiau biocompatible (gutta-percha), puis reconstitue la dent (composite + couronne le plus souvent). Duree : 1 a 3 seances. Cout total : CHF 1'200 a CHF 2'500 selon le nombre de canaux.
5. Extraction (dernier recours)
Si la dent est non recuperable (carie sous-gingivale profonde, fracture verticale de la racine, infection chronique), elle doit etre extraite. Suit une periode de cicatrisation (2 a 4 mois), puis le remplacement par un implant dentaire (CHF 3'500 a CHF 6'500), un bridge (CHF 2'500 a CHF 5'000), ou une prothese amovible. C'est de loin la solution la plus couteuse et la plus longue : raison de plus pour ne pas attendre quand un plombage tombe.
Materiaux de plombage modernes
Au moment ou votre dentiste vous proposera un nouveau plombage, vous aurez le choix entre plusieurs materiaux. Voici un comparatif honnete des options en 2026.

Composite (resine blanche) - le standard 2026
Le composite est devenu le materiau de premiere intention pour 80 a 90 % des plombages a Geneve et en Suisse romande. Selon l'article Wikipedia sur les composites dentaires, ils sont composes d'une matrice de bis-GMA ou d'UDMA (resines methacrylates) chargee a 70-80 % de particules de verre, ceramique, silice ou zircone, photopolymerisees par une lampe LED bleue (450-470 nm). Avantages : esthetique parfaite, collage adhesif, conservation maximale de la dent saine, sans mercure, bonne solidite. Inconvenients : sensibilite a l'humidite pendant la pose, retraction de polymerisation (0.5 a 3 % de volume), plus cher que l'amalgame, duree de vie un peu plus courte (10-15 ans).

Amalgame (gris argente) - en voie de disparition
L'amalgame dentaire est un alliage de mercure (50 %), argent, etain, cuivre et zinc. Selon l'article Wikipedia sur la controverse de l'amalgame dentaire, son utilisation est en forte baisse en Europe : le reglement UE 2017/852 sur le mercure a interdit son usage chez les enfants de moins de 15 ans, les femmes enceintes et allaitantes depuis juillet 2018, et plusieurs pays (Suede, Norvege, Danemark) l'ont totalement interdit. La Suisse suit cette tendance avec une utilisation devenue marginale (moins de 10 % des nouveaux plombages en 2024). Avantages : duree de vie superieure (15-20 ans), tres solide, resistant aux fortes contraintes de mastication, moins cher (CHF 150-300). Inconvenients : esthetique gris-noir, contient du mercure, exige de mutiler la dent saine pour assurer la retention mecanique, expansion thermique differente de la dent (microfissures sur le long terme).

Ceramique (e.max, zircone) - le haut de gamme
Pour les inlays, onlays et couronnes, la ceramique est aujourd'hui la reference esthetique. Les ceramiques modernes (disilicate de lithium IPS e.max, zircone) sont aussi solides que le metal mais translucides comme l'email naturel. Duree de vie : 15 a 25 ans. Cout : CHF 800 a 2'500. Pose en 1 ou 2 seances selon que le cabinet dispose d'un systeme CFAO (CEREC) qui usine la piece sur place en 30 minutes.
Or - l'option premium centenaire
L'or dentaire (alliage or, platine, palladium, argent) reste le materiau le plus durable jamais invente : 25 a 50 ans, parfois plus. Tres biocompatible, n'use pas la dent antagoniste, parfaite etancheite. Inconvenient majeur : couleur dorée non esthetique, donc reserve aux molaires postearieures invisibles. Cout eleve : CHF 1'500 a 3'500. Encore propose dans les cabinets traditionnels suisses, surtout pour des patients seniors qui en avaient deja.
Verre ionomere (ciment verre-ionomere)
Materiau hybride verre + acide polyacrylique. Adhere chimiquement a la dent sans collage adhesif, libere du fluor (effet anti-carie), tres biocompatible. Inconvenients : moins solide et moins esthetique que le composite, duree de vie limitee (5-8 ans). Utilise surtout chez les enfants, en denture lacteale, ou pour les restaurations provisoires de longue duree. Cout : CHF 150-250.
| Materiau | Duree de vie | Esthetique | Prix CHF |
|---|---|---|---|
| Composite | 10 - 15 ans | Excellente | 200 - 450 |
| Amalgame | 15 - 20 ans | Mediocre (gris) | 150 - 300 |
| Ceramique (inlay/onlay) | 15 - 25 ans | Parfaite | 800 - 1'500 |
| Or | 25 - 50 ans | Doree | 1'500 - 3'500 |
| Verre ionomere | 5 - 8 ans | Acceptable | 150 - 250 |
Prix d'un plombage a Geneve (CHF)
Les tarifs dentaires en Suisse suivent le tarif Tarmed Dental SSO, mais chaque cabinet applique librement son point-tarif (entre CHF 1.00 et CHF 1.40 a Geneve, plus eleve qu'en moyenne suisse). Voici les prix observes en 2026 dans les cabinets genevois.
| Acte | Prix CHF | Notes |
|---|---|---|
| Consultation simple | 80 - 150 | Examen + diagnostic |
| Radiographie retro-alveolaire | 35 - 70 | Par cliche |
| Plombage composite 1 face | 180 - 280 | Petite cavite |
| Plombage composite 2 faces | 250 - 380 | Cavite moyenne |
| Plombage composite 3-4 faces | 350 - 550 | Cavite large |
| Plombage amalgame | 150 - 300 | Devenu rare |
| Inlay/onlay ceramique | 800 - 1'500 | 2 seances |
| Couronne ceramique | 1'200 - 2'500 | Zircone ou e.max |
| Devitalisation 1 canal | 600 - 900 | Incisive/canine |
| Devitalisation 3 canaux | 1'200 - 1'800 | Molaire |
| Anesthesie locale | 25 - 60 | Souvent incluse |
Important : en Suisse, les soins dentaires courants ne sont PAS rembourses par la LAMal (assurance de base). Seules certaines situations exceptionnelles (maladies graves du systeme masticatoire, accidents) ouvrent droit a une prise en charge. Pour etre couvert sur le remplacement d'un plombage, il faut une assurance complementaire dentaire LCA (CSS Dental, Helsana Dental, Visana Dental, Swica Completa, Groupe Mutuel Dent Vita).
Tous les cabinets serieux a Geneve fournissent un devis ecrit avant tout traitement depassant CHF 300 (obligation deontologique de la SSO). Si un dentiste refuse de vous donner un devis, c'est un signal d'alerte : changez de cabinet.
Duree de vie d'un plombage
Selon une meta-analyse publiee dans le Journal of Dentistry (2020) qui a compile 56 etudes longitudinales sur plus de 100'000 restaurations, voici les durees de vie moyennes observees :
- Composite direct : mediane 10 ans, 50 % des restaurations encore en place a 15 ans
- Amalgame : mediane 15 ans, 50 % encore en place a 22 ans
- Inlay/onlay ceramique : mediane 17 ans, 80 % encore en place a 10 ans
- Couronne ceramique : mediane 20 ans, 90 % encore en place a 10 ans
- Or : mediane 35 ans, certains depassent 50 ans
Ces chiffres sont des moyennes : votre cas individuel peut etre tres different. Les facteurs qui reduisent la duree de vie :
- Hygiene buccale insuffisante (moins de 2 brossages quotidiens, pas de fil dentaire)
- Consommation elevee de sucres et boissons acides
- Bruxisme nocturne (grincement de dents)
- Alimentation riche en aliments tres durs ou tres collants
- Bouche seche (xerostomie, certains medicaments, syndrome de Sjogren)
- Tabagisme (favorise la maladie parodontale et la carie de la racine)
- Localisation : les molaires usent plus vite que les incisives
- Taille initiale : un grand plombage tient moins longtemps qu'un petit
A l'inverse, les patients qui maintiennent une excellente hygiene, consultent leur dentiste tous les 6 mois pour un controle et un detartrage, et utilisent une gouttiere occlusale en cas de bruxisme peuvent doubler la duree de vie de leurs plombages par rapport aux moyennes.
Comment prevenir la chute d'un plombage
La meilleure facon de gerer un plombage qui tombe, c'est de l'eviter. Voici les 8 regles qui prolongent la duree de vie de vos restaurations.
- Brossage 2 fois par jour, 2 minutes minimum, avec une brosse souple ou une brosse electrique a pression controlee (Oral-B, Sonicare). Methode Bass : 45 degres, mouvements vibratoires courts, pas de gros allers-retours horizontaux qui fissurent les plombages.
- Fil dentaire ou brossettes interdentaires quotidiennement. 40 % des caries secondaires se forment a la jonction interdentaire entre deux plombages, zone inaccessible a la brosse seule.
- Controle annuel chez le dentiste (semestriel pour les patients a risque). Le dentiste detecte les fissures, les debuts de decollement et les debuts de carie secondaire AVANT la chute.
- Detartrage professionnel tous les 6-12 mois pour eliminer le tartre qui irrite les gencives et favorise la carie radiculaire au pied des plombages.
- Gouttiere occlusale en cas de bruxisme. Si vous serrez ou grincez des dents la nuit (votre conjoint vous l'a dit, vous reveillez avec des douleurs aux machoires, vos dents s'usent), une gouttiere thermoformee sur mesure (CHF 350-600) protege vos plombages des contraintes excessives. Investissement rapidement amorti.
- Eviter les gestes a risque : ne croquez pas les glacons, n'ouvrez pas les bouteilles avec les dents, n'utilisez pas vos dents comme outils (tenir une epingle, dechirer un emballage), evitez les bonbons tres durs et les caramels qui collent.
- Limiter les boissons acides (sodas, jus d'orange, vin blanc, kombucha) entre les repas. L'acidite ramollit l'email autour des plombages et accelere la fatigue du materiau.
- Hydratation et flux salivaire : la salive neutralise les acides, reminerale l'email, lave les debris alimentaires. Buvez 1.5 a 2 litres d'eau par jour, machez du chewing-gum sans sucre apres les repas si besoin (le xylitol stimule la salive).
Le signal d'alerte a connaitre
Si un de vos plombages devient sensible au froid, au sucre ou a la mastication, ou si vous sentez un bord rugueux qui n'etait pas la avant : n'attendez pas qu'il tombe. Prenez rendez-vous pour un controle. Detecter et reparer un plombage qui se decolle coute 2 a 3 fois moins cher que de tout refaire apres la chute.
FAQ - Questions frequentes
Un plombage qui tombe est-il une urgence ?
Dans la majorite des cas, NON. Un plombage tombe n'est pas une vraie urgence dentaire si vous n'avez pas de douleur intense, pas de saignement et pas de pulpe (chair rose-rouge) visible au fond de la cavite. Vous avez en general 1 a 2 semaines pour consulter sans risque majeur. Cela devient en revanche une urgence si vous ressentez une douleur lancinante, si la pulpe est exposee ou si la dent saigne.
Combien de temps puis-je attendre avant de remplacer un plombage tombe ?
Le delai maximum recommande est de 1 a 2 semaines. Au-dela, la cavite exposee se contamine rapidement par les bacteries de la bouche, ce qui peut declencher une carie secondaire profonde, atteindre la pulpe et necessiter une devitalisation (CHF 800-1'500) au lieu d'un simple plombage (CHF 200-400). Ne reportez pas indefiniment : ce qui coute CHF 300 cette semaine peut couter CHF 2'000 dans 3 mois.
Combien coute le remplacement d'un plombage a Geneve ?
A Geneve, un plombage en composite coute entre CHF 180 et CHF 450 selon la taille et la localisation de la dent (1 a 4 faces). Un onlay/inlay en ceramique coute CHF 800 a CHF 1'500. Une couronne (si la destruction est trop importante) coute CHF 1'200 a CHF 2'500. Une consultation simple est facturee CHF 80 a CHF 150.
Combien de temps dure un plombage en moyenne ?
Un plombage en composite (resine blanche) dure en moyenne 10 a 15 ans selon votre hygiene et votre alimentation. Un plombage en amalgame (gris argente) dure 15 a 20 ans, parfois plus. Les inlays/onlays en ceramique ou en or peuvent durer 20 a 30 ans. Un plombage tombe avant 5 ans suggere un probleme : carie secondaire, contrainte mecanique, mauvais collage initial.
Puis-je utiliser un ciment de pharmacie pour reparer mon plombage tombe ?
Oui, en attendant le rendez-vous chez le dentiste. Les ciments dentaires temporaires (Cavit, Dentemp, marques disponibles en pharmacie suisse a CHF 15-25) protegent la cavite pendant 7 a 14 jours. Lavez la dent, sechez-la, appliquez le ciment dans la cavite et appuyez. Ne prenez JAMAIS de colle forte (cyanoacrylate, super glue) : elle endommage la pulpe et complique le retraitement.
Pourquoi mon plombage est tombe sans douleur ?
C'est frequent et plutot rassurant a court terme. Le plombage peut s'etre decolle a cause de l'usure, d'une fracture du materiau, d'un mauvais collage initial ou d'une carie secondaire qui a progresse silencieusement sous le plombage. L'absence de douleur signifie que la pulpe (le nerf) n'est pas encore atteinte, mais cela peut changer rapidement si la cavite reste exposee. Consultez sous 1 a 2 semaines.
Que faire si je vois du rouge ou du rose dans la cavite ?
Si vous voyez du tissu rose-rouge au fond de la cavite, c'est probablement la pulpe (le nerf) qui est exposee. C'est une urgence dentaire : la pulpe non protegee va s'inflammer dans les heures qui suivent et provoquer une douleur intense (pulpite aigue). Consultez le jour meme, idealement dans les 4 a 6 heures. En attendant, evitez de manger sur cette dent et ne touchez pas la zone.
Composite ou amalgame : lequel choisir aujourd'hui ?
En 2026, le composite (resine blanche) est devenu le standard a Geneve et en Suisse pour la grande majorite des plombages. Il est esthetique, adhesif (collage chimique), n'exige pas de mutiler la dent saine et ne contient pas de mercure. L'amalgame est encore utilise pour les molaires postearieures soumises a de fortes contraintes ou pour les patients a risque carieux eleve, mais son usage est en forte baisse en Europe (interdiction progressive depuis le reglement UE 2017/852).
Plombage tombe ? On vous prend en charge a Geneve.
Notre cabinet d'urgence dentaire accueille les patients sans rendez-vous 7 jours sur 7. Remplacement de plombage, inlay/onlay, devitalisation : diagnostic et devis le jour meme.
Rue du Conseil-Général 7, 1205 Genève, Suisse