
Abces Dentaire : Urgence, Symptomes et Traitement
Un abces dentaire est l'une des urgences les plus douloureuses et les plus dangereuses de la dentisterie. Il s'agit d'une infection bacterienne active qui forme une poche de pus dans ou autour d'une dent, et qui peut rapidement se propager a la machoire, au cou, au visage et meme au sang. Contrairement a une idee recue, un abces ne guerit jamais seul : il necessite toujours un traitement dentaire rapide.
Ce guide explique en detail ce qu'est un abces dentaire, comment le reconnaitre, pourquoi il faut reagir en moins de 24 heures, quels sont les premiers gestes a adopter, les erreurs a eviter, les traitements professionnels (drainage, antibiotiques, devitalisation, extraction) et les prix a Geneve. Sources : Wikipedia Abces dentaire, Societe suisse des medecins-dentistes (SSO), recommandations American Dental Association (ADA) et NHS UK.
Qu'est-ce qu'un abces dentaire
Un abces dentaire est une accumulation localisee de pus (bacteries mortes, globules blancs, cellules detruites et plasma) dans une cavite fermee situee dans ou autour d'une dent. Il resulte toujours d'une infection bacterienne, le plus souvent causee par les bacteries normalement presentes dans la bouche qui ont reussi a penetrer dans des tissus normalement steriles.
Selon l'Organisation mondiale de la sante, les infections dentaires (caries non traitees et abces) touchent environ 2 milliards de personnes dans le monde. A Geneve et en Suisse romande, les cabinets d'urgence dentaire recoivent en moyenne 3 a 5 patients par jour pour un abces dentaire, soit plus de 1'500 cas annuels pour la seule ville de Geneve.

Pour comprendre un abces, il faut connaitre l'anatomie de la dent. Une dent est composee de trois couches : l'email (exterieur blanc, le materiau le plus dur du corps), la dentine (couche intermediaire jaunatre) et la pulpe (tissu mou central contenant les nerfs et les vaisseaux sanguins). Quand une carie depasse l'email et la dentine pour atteindre la pulpe, les bacteries entrent dans la chambre pulpaire, provoquent une necrose pulpaire, puis l'infection descend par les canaux radiculaires jusqu'a l'os de la machoire ou elle forme l'abces.
Les 2 types d'abces : peri-apical vs parodontal
Tous les abces dentaires ne sont pas identiques. On distingue deux types principaux selon leur origine anatomique. Cette distinction est essentielle car elle determine le traitement : un abces peri-apical exige generalement une devitalisation ou une extraction, un abces parodontal necessite un drainage et un assainissement des gencives.
1. Abces peri-apical (ou apical)
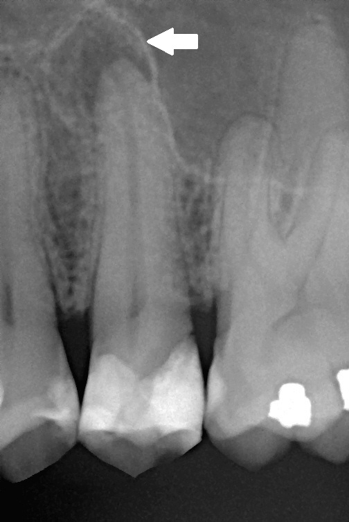
C'est le type le plus frequent (environ 70% des cas). L'infection part de l'interieur de la dent, plus precisement de la pulpe, et se propage par le canal radiculaire jusqu'a l'extremite (apex) de la racine. Le pus s'accumule dans l'os alveolaire autour de l'apex et forme l'abces. La cause principale est une carie profonde non traitee, une fracture dentaire exposant la pulpe, ou l'echec d'un ancien traitement de canal.

Sur une radiographie retro-alveolaire, un abces peri-apical apparait comme une zone sombre arrondie (radioclaire) au bout de la racine, signe de la destruction osseuse locale. Le traitement necessite de nettoyer le canal infecte (devitalisation ou traitement de canal endodontique) ou d'extraire la dent si elle n'est plus recuperable.
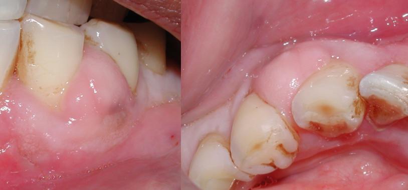
2. Abces parodontal
L'abces parodontal touche environ 25% des cas. L'infection part de l'exterieur de la dent, dans une poche parodontale profonde entre la dent et la gencive, formee par une parodontite (maladie des gencives) non traitee. La dent elle-meme est souvent vivante (pulpe saine), mais l'os qui la soutient est en train d'etre detruit. L'abces forme une "boule" rouge et tres douloureuse sur la gencive, souvent avec du pus qui sourd a la pression.

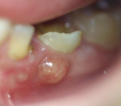
3. Abces gingival (ou parulique)
Forme plus superficielle et moins grave. Il s'agit d'un abces limite a la gencive marginale, souvent cause par un corps etranger (arete de poisson, reste alimentaire, poil d'une brosse a dent) qui s'est coince entre la dent et la gencive. Se presente comme une petite "bosse" rouge ponctuelle. Traitement simple : retrait du corps etranger + bain de bouche antiseptique.

| Critere | Peri-apical | Parodontal |
|---|---|---|
| Origine | Interieur de la dent (pulpe) | Exterieur (poche parodontale) |
| Cause principale | Carie profonde non traitee | Parodontite avancee |
| Vitalite pulpaire | Morte (necrose) | Generalement vivante |
| Mobilite de la dent | Legere a moyenne | Souvent importante |
| Radiographie | Radioclaire a l'apex | Perte osseuse laterale |
| Traitement principal | Devitalisation ou extraction | Drainage + surfacage radiculaire |
| Frequence | ~70% | ~25% |
Symptomes a reconnaitre
Un abces dentaire provoque des symptomes tres caracteristiques qui permettent generalement de le diagnostiquer cliniquement, meme avant la radiographie. La douleur est la plainte principale dans plus de 95% des cas, mais d'autres signes viennent confirmer le diagnostic.
Douleur pulsatile lancinante
C'est le signe pathognomonique. La douleur est continue, lancinante, pulsatile (elle bat au rythme du pouls), s'intensifie au fil des heures et devient rapidement insupportable. Elle est souvent decrite comme "la pire douleur jamais ressentie" et reveille la nuit. L'intensite est proportionnelle a la pression dans la cavite abcedee : plus l'espace est ferme, plus ca fait mal.
Gonflement (cellulite)
Le gonflement apparait 24 a 72 heures apres le debut de la douleur. D'abord localise a la gencive, il s'etend rapidement a la joue, au menton, parfois a l'oeil (abces des incisives superieures) ou au cou (molaires inferieures). Un visage deforme, asymetrique, chaud et douloureux au toucher est caracteristique d'une cellulite faciale, complication frequente de l'abces.
Fievre et malaise general
La fievre apparait quand l'infection depasse le site local et provoque une reaction inflammatoire systemique. Une temperature superieure a 38 C, frissons, fatigue intense, maux de tete, perte d'appetit et sensation de malaise general sont des signes d'alerte majeurs. Une temperature superieure a 39 C est une urgence hospitaliere.
Ganglions enfles et douloureux
Les ganglions lymphatiques sous la machoire (sous-mandibulaires) et dans le cou (jugulaires) deviennent gonfles, durs et douloureux a la palpation. C'est le signe que le systeme immunitaire draine l'infection vers les ganglions regionaux. Evocateur mais pas specifique.
Gout metallique et mauvaise haleine
Un gout metallique, amer ou de "vieux fer" dans la bouche, associe a une halitose marquee, suggere que du pus s'ecoule dans la cavite buccale, souvent via une fistule (petit pertuis sur la gencive). Parfois le patient decrit "un gout de pus" tres desagreable.
Signes d'URGENCE ABSOLUE (appeler le 144)
- Fievre superieure a 39 C + frissons violents
- Gonflement qui ferme l'oeil ou deforme la face
- Difficulte a avaler (dysphagie)
- Difficulte a respirer ou sensation d'etouffement
- Trismus (impossibilite d'ouvrir la bouche)
- Changement de voix, voix etouffee
- Douleur au cou, gonflement qui descend vers le thorax
- Confusion, desorientation, malaise
Ces signes evoquent une angine de Ludwig, une mediastinite ou un sepsis. Appelez le 144 ou rendez-vous directement aux urgences des HUG (Rue Gabrielle-Perret-Gentil 4, 1205 Geneve).
Les 6 causes principales
Un abces ne se forme jamais "par hasard". Il y a toujours une porte d'entree bacterienne dans des tissus normalement steriles. Identifier la cause est essentiel pour traiter et eviter les recidives.
1. Carie profonde non traitee (cause #1)
C'est la cause de 60 a 70% des abces dentaires. Une carie est une destruction progressive de la dent par les acides produits par les bacteries (principalement Streptococcus mutans). Au debut, la carie est limitee a l'email (indolore, reversible par fluoration). Elle traverse ensuite la dentine (sensibilite au froid, au sucre). Si elle n'est pas soignee, elle atteint la pulpe : les bacteries penetrent dans la chambre pulpaire, provoquent une pulpite aigue (douleur violente) puis une necrose pulpaire, et enfin un abces peri-apical.

2. Fracture ou fissure dentaire
Une fracture qui traverse l'email et atteint la dentine ou la pulpe ouvre une voie directe aux bacteries. Les fissures les plus pernicieuses sont celles qui ne sont pas visibles a l'oeil nu (cracked tooth syndrome) : la dent fait mal a la mastication pendant des semaines sans diagnostic, puis soudainement un abces se declare. Les causes frequentes : bruxisme (grincement de dents), traumatisme sportif (voir notre guide traumatisme dentaire sport), chute, morsure sur un objet dur.
3. Parodontite avancee
Une parodontite avancee cree des poches profondes entre la dent et la gencive (4-12 mm). Les bacteries anaerobies s'y multiplient dans un environnement sans oxygene et forment un biofilm pathogene. Un impact alimentaire ou une baisse d'immunite peut transformer cette poche chronique en abces parodontal aigu. Voir notre guide sur les gencives gonflees et infectees pour plus de details.
4. Echec d'un ancien traitement de canal
Un traitement de canal (devitalisation) mal realise ou ancien (plus de 10 ans) peut laisser des bacteries residuelles dans des canaux lateraux non traites. Ces bacteries se reactivent progressivement et forment un nouvel abces autour de l'apex (lesion peri-apicale secondaire). C'est le cas le plus difficile car il necessite soit un retraitement canalaire (taux de succes 60-70%), soit une apicectomie chirurgicale, soit une extraction.
5. Dent de sagesse en eruption difficile (pericoronarite)
Chez les jeunes adultes (17-25 ans), une dent de sagesse qui perce partiellement laisse une "capuche" de gencive (operculum) au-dessus de la couronne. Des debris alimentaires et des bacteries s'y logent et provoquent une inflammation puis un abces localise appele pericoronarite suppurative. Douleur au fond de la bouche, difficulte a avaler et a ouvrir, gonflement de la joue. Traitement : lavage, incision, antibiotiques, puis extraction differee de la dent de sagesse.
6. Traumatisme ancien avec necrose pulpaire tardive
Une dent qui a recu un coup dans le passe (chute en velo a 10 ans, accident de ski, coude recu au rugby) peut developper une necrose pulpaire silencieuse qui met des mois voire des annees a se manifester. La dent change de couleur (devient grise), et un beau jour un abces se forme a son apex. C'est pourquoi toute dent traumatisee doit etre surveillee radiographiquement pendant au moins 2 ans.
Facteurs de risque generaux
- Mauvaise hygiene buccale (moins de 2 brossages / jour, pas de fil)
- Alimentation riche en sucres (sodas, bonbons, biscuits, grignotage frequent)
- Tabagisme (x3 risque de parodontite)
- Diabete mal equilibre (HbA1c > 8%)
- Immunodepression (VIH, chimiotherapie, corticoides au long cours)
- Secheresse buccale (xerostomie, certains medicaments)
- Bouche seche post-radiotherapie de la tete et du cou
- Absence de controle dentaire depuis plus de 2 ans
Stades de progression d'un abces
Un abces dentaire ne se forme pas en une nuit. Il progresse par etapes sur plusieurs jours a plusieurs semaines. Reconnaitre le stade permet d'agir avant que l'infection ne devienne grave.
| Stade | Duree | Symptomes | Urgence |
|---|---|---|---|
| 1. Pulpite reversible | Jours-semaines | Sensibilite au froid/chaud, breve | Non |
| 2. Pulpite irreversible | 1-3 jours | Douleur violente, spontanee | Consulter sous 48h |
| 3. Necrose pulpaire | 2-7 jours | Douleur disparait (faux espoir) | Consulter sous 7 jours |
| 4. Abces peri-apical aigu | 1-3 jours | Douleur pulsatile, dent "haute" | Sous 24h |
| 5. Cellulite faciale | 1-2 jours | Gonflement de la joue, fievre | IMMEDIAT |
| 6. Cellulite diffuse | Heures | Visage deforme, trismus, fievre 39+ | HOPITAL |
| 7. Angine de Ludwig / sepsis | Heures | Detresse respiratoire, confusion | 144 / REA |
Point crucial : entre les stades 2 et 3, la douleur peut disparaitre temporairement. C'est le moment ou le nerf meurt. Beaucoup de patients croient a tort etre gueris et ne consultent pas, jusqu'a ce que l'abces eclate quelques jours plus tard. Si vous avez eu une rage de dents qui a soudainement cesse, cela signifie que votre dent est probablement necrosee : consultez rapidement meme sans douleur.
Pourquoi un abces est une URGENCE medicale
Contrairement a un mal de dent banal, un abces peut devenir mortel en quelques jours si l'infection se propage. Ce n'est pas une exageration : avant l'ere des antibiotiques (annees 1940), la mortalite des infections dentaires depassait 10%. Aujourd'hui encore, meme en Suisse, on deplore chaque annee plusieurs deces par angine de Ludwig ou sepsis d'origine dentaire.
Angine de Ludwig
L'angine de Ludwig est une cellulite bilaterale, rapidement progressive, des espaces sous-mandibulaire, submentonnier et sublingual. Elle provient le plus souvent d'un abces des molaires inferieures (2eme ou 3eme molaire). Le plancher buccal gonfle, la langue est repoussee vers le haut et en arriere, obstrue les voies respiratoires. Sans intervention chirurgicale d'urgence et antibiotiques IV, le patient peut mourir par asphyxie en moins de 24 heures.

Sepsis (septicemie)
Les bacteries de l'abces passent dans la circulation sanguine et provoquent une reaction inflammatoire systemique massive. Signes : fievre elevee, frissons, tachycardie (> 100 bpm), hypotension, confusion. Sans antibiotiques IV en urgence, le sepsis evolue vers le choc septique avec defaillance multiorganes. La mortalite du sepsis sévere reste de 20 a 40% malgre les soins intensifs modernes.
Propagation dans les espaces anatomiques
Les infections dentaires peuvent se propager a plusieurs espaces anatomiques graves : sinus maxillaires (sinusite odontogene, abces des molaires superieures), orbite oculaire (cellulite orbitaire, risque de cecite), cerveau (abces cerebral, meningite, rare mais gravissime), mediastin (mediastinite descendante necrosante, mortalite 40%) ou endocarde (endocardite bacterienne, surtout chez les porteurs de valves).
Destruction osseuse locale
Meme un abces non propage detruit progressivement l'os alveolaire autour de la dent. Plus l'abces est traite tardivement, plus la perte osseuse est importante, plus les chances de conserver la dent diminuent, et plus la reconstruction (greffe osseuse, implant) sera complexe et couteuse par la suite. Attendre coute toujours plus cher que consulter.
Premiers reflexes a la maison
Aucun geste a la maison ne remplace la consultation dentaire. Mais en attendant votre rendez-vous (dans l'ideal quelques heures, maximum 24 heures), ces mesures soulagent la douleur et evitent l'aggravation.
1. Appeler immediatement un cabinet d'urgence
Avant tout, trouvez un cabinet d'urgence. A Geneve, notre cabinet au 078 216 67 26 est ouvert 7 jours sur 7. La nuit (20h-8h), dimanche et jours feries, appelez SOS Dentistes Geneve 0840 300 301 (24/7). Pour une urgence vitale : 144. Plus de details dans notre guide dentiste de garde Geneve.
2. Antalgiques : ibuprofene + paracetamol
Prenez 400 mg d'ibuprofene (Brufen, Irfen, Nurofen) toutes les 6 heures, au maximum 1'200 mg par 24h en automedication. L'ibuprofene est un anti-inflammatoire non steroidien (AINS) qui reduit la douleur ET l'inflammation. A combiner avec 1 g de paracetamol (Dafalgan, Panadol) toutes les 6 heures pour un effet synergique. Evitez l'aspirine qui augmente le saignement et peut compliquer l'intervention. Voir notre guide complet soulager une douleur dentaire.
3. Appliquer du FROID (jamais du chaud)
Utilisez une poche de glace ou un sachet de petits pois congeles enveloppe dans un linge fin, applique sur la joue du cote de l'abces. 15 minutes on, 15 minutes off, renouveler plusieurs fois. Le froid vasoconstrict, reduit le gonflement et soulage la douleur. JAMAIS de chaleur : bouillotte, compresse chaude, air chaud, meme au visage. La chaleur accelere la multiplication bacterienne et la propagation de l'infection.
4. Bains de bouche au sel
Dissolvez 1 cuillere a cafe de sel dans un verre d'eau tiede (pas chaude). Rincez doucement la bouche pendant 30 secondes, recrachez, repetez 3 a 4 fois par jour. Le sel est un antiseptique doux qui cree un environnement hypertonique defavorable aux bacteries. Efficace egalement si la fistule laisse sortir du pus. En alternative : bains de bouche a la chlorhexidine 0.12-0.20% (Corsodyl, Paroex, en pharmacie CHF 15-20), 2 fois par jour pendant 5-7 jours maximum.
5. Tete surelevee pour dormir
La douleur d'un abces est classiquement pire la nuit en position allongee car la pression sanguine dans la zone abcedee augmente. Dormez avec 2 a 3 oreillers pour maintenir la tete surelevee, ce qui favorise le drainage veineux et reduit la douleur pulsatile. Evitez de dormir sur le cote de l'abces.
6. Hydratation et alimentation molle
Buvez beaucoup d'eau (au moins 2 litres / jour) pour maintenir l'hydratation et aider l'organisme a combattre l'infection. Privilegiez une alimentation molle, tiede (pas chaude, pas froide) : soupes, purees, yaourts, compotes, oeufs brouilles. Machez du cote oppose a l'abces. Evitez les aliments sucres (nourrissent les bacteries), l'alcool et le tabac.
Ce qu'il NE faut PAS faire
Ces erreurs frequentes peuvent transformer un abces controlable en urgence hospitaliere. Evitez-les absolument.
- 1. Ne jamais percer l'abces soi-meme. Avec une aiguille, un cure-dent, un objet chauffe, etc. Risque d'introduire de nouvelles bacteries et de propager l'infection dans le sang.
- 2. Ne jamais appliquer de chaleur (bouillotte, compresse chaude, sechoir). La chaleur dilate les vaisseaux et favorise la dissemination.
- 3. Ne jamais prendre des antibiotiques "en attente" sans prescription. Un mauvais choix ou une dose inadaptee peut masquer l'infection sans la guerir, retarder le diagnostic et selectionner des bacteries resistantes.
- 4. Ne jamais mettre de l'aspirine directement sur la gencive. Cela provoque une brulure chimique (ulceration) sans soulager la douleur.
- 5. Ne jamais boire d'alcool pour "desinfecter" ou calmer la douleur. L'alcool interagit avec les AINS, aggrave l'inflammation et compromet la cicatrisation.
- 6. Ne jamais fumer. La nicotine reduit la vascularisation gingivale et ralentit la guerison. Le tabac multiplie par 3 le risque de complications post-operatoires.
- 7. Ne jamais reporter la consultation. "Ca va passer tout seul" est le mensonge le plus dangereux en matiere d'abces dentaire.
- 8. Ne jamais prendre des antibiotiques gardes de la derniere fois. Demi-dose, molecule inadaptee, peremption : risques eleves et inefficace.
Traitements professionnels
Le traitement d'un abces dentaire comporte toujours trois objectifs : drainer le pus, eliminer la source bacterienne, prevenir les recidives. Le protocole depend du type d'abces, de la gravite et de la possibilite de conserver la dent.
1. Drainage de l'abces (geste d'urgence)
C'est le geste prioritaire. Sous anesthesie locale, le dentiste pratique une petite incision dans la zone fluctuante de l'abces avec un bistouri ou une lame. Le pus s'evacue spontanement, ce qui entraine un soulagement immediat et spectaculaire. Le dentiste peut placer une meche de drainage (gaze imbibee) pendant 24-48h pour eviter que la plaie ne se referme prematurement. Douleur quasi-nulle pendant l'intervention grace a l'anesthesie, mais un peu de sensibilite post-geste pendant quelques heures.
2. Traitement de canal (devitalisation)
Pour un abces peri-apical sur une dent conservable, le traitement endodontique (devitalisation) est la solution de reference. Le dentiste ouvre la chambre pulpaire, aspire le pus, nettoie mecaniquement les canaux radiculaires avec des instruments fins (limes endodontiques manuelles ou rotatives), desinfecte avec de l'hypochlorite de sodium, puis obture les canaux avec de la gutta-percha. Taux de succes : 85 a 95% en premiere intention. Generalement 2 seances espacees de 1-2 semaines. Doit etre suivi d'une reconstruction definitive (plombage volumineux ou couronne).

3. Extraction dentaire
Si la dent est irrecuperable (fracture verticale, destruction coronaire complete, mobilite grade 3, echec d'un ancien traitement de canal, abces etendu), l'extraction est le seul choix. Sous anesthesie locale, extraction simple (15-30 minutes, CHF 150-300) ou extraction chirurgicale avec ouverture de la gencive et separation des racines (30-60 minutes, CHF 300-600). L'extraction elimine radicalement la source d'infection. Un remplacement prothetique (pont, implant, appareil amovible) sera propose apres cicatrisation (3-6 mois).
4. Surfacage radiculaire (abces parodontal)
Pour un abces parodontal, le traitement cause est un surfacage radiculaire (scaling and root planing) : nettoyage mecanique profond de la poche parodontale, elimination du tartre sous-gingival et lissage des surfaces radiculaires. Realise sous anesthesie locale, quadrant par quadrant. Combine avec des bains de bouche a la chlorhexidine pendant 7-14 jours. Dans les cas severes : antibiotiques locaux (gel de metronidazole, Perio Chip a la chlorhexidine) ou systemiques.
5. Apicectomie (chirurgie endodontique)
En cas d'echec d'un traitement de canal anterieur, une apicectomie (chirurgie peri-apicale) peut etre proposee. Le chirurgien ouvre la gencive, expose l'apex de la racine, coupe le dernier millimetre de racine infectee et obture le moignon avec du MTA (Mineral Trioxide Aggregate). Taux de succes : 70-80%. Realisee par un specialiste en endodontie ou en chirurgie orale. Cout : CHF 1'200-2'000.
Antibiotiques : quand ils sont vraiment utiles
Contrairement a une idee repandue, les antibiotiques ne guerissent jamais un abces dentaire. La raison est mecanique : les bacteries sont enfermees dans une poche fermee sans vascularisation active, et les antibiotiques du sang ne penetrent pas correctement dans le pus. Les antibiotiques ne font qu'endiguer temporairement la propagation. Le drainage et le traitement de la cause sont toujours indispensables.

Indications reelles
Selon les recommandations de l'American Dental Association (2019) et de la SSO, les antibiotiques sont indiques dans les cas suivants uniquement :
- Cellulite diffuse (gonflement etendu au-dela de la zone dentaire)
- Fievre superieure a 38 C ou signes systemiques
- Trismus (difficulte a ouvrir la bouche)
- Ganglions enfles et douloureux
- Patient immunodeprime (diabetique mal equilibre, VIH, chimiotherapie, corticoides)
- Risque d'endocardite (valve cardiaque artificielle, antecedent d'endocardite)
- Difficulte d'acces au drainage immediat (delai, anatomie)
- Echec du drainage initial
Pour un abces simple, limite, chez un patient sain, avec drainage effectue correctement : pas d'antibiotiques necessaires. La prescription excessive d'antibiotiques favorise l'antibioresistance, probleme majeur de sante publique.
Molecules utilisees en Suisse
Premiere intention :
- Amoxicilline 1 g 3 fois/jour pendant 5-7 jours (Clamoxyl, Ospamox). La plus utilisee, large spectre, bien toleree. Contre-indication : allergie aux penicillines.
- Amoxicilline + acide clavulanique (Co-Amoxi, Augmentin) 1 g 3 fois/jour. Plus puissante, utilisee en cas de cellulite, de tabagisme ou de terrain complexe.
- Metronidazole (Flagyl) 500 mg 3 fois/jour en association avec l'amoxicilline. Cible les bacteries anaerobies strictes. Indique dans les abces parodontaux et les cellulites anaerobies. Contre-indication absolue : alcool pendant et 48h apres (effet antabuse).
En cas d'allergie a la penicilline :
- Clindamycine 300-600 mg 3 fois/jour pendant 5-7 jours (Dalacin). Alternative de reference pour les allergies aux beta-lactamines. Risque colite pseudo-membraneuse (C. difficile).
- Azithromycine 500 mg 1 fois/jour pendant 3 jours (Zithromax). Schema court, bonne compliance.
Regles d'or des antibiotiques dentaires
- Toujours sur prescription d'un dentiste ou medecin
- Toujours associes a un geste de drainage / traitement causal
- Respecter la duree prescrite meme si les symptomes disparaissent
- Ne pas interrompre a mi-course ("je me sens mieux")
- Prendre aux heures fixes pour maintenir le taux sanguin
- Signaler toute eruption, diarrhee, fievre persistante
- Eviter l'alcool (surtout avec le metronidazole)
Complications graves possibles
Un abces dentaire correctement traite en 24-48h n'a generalement pas de consequences serieuses. Mais retarde ou mal traite, il peut evoluer vers des complications tres severes, parfois mortelles.
Cellulite faciale
Propagation de l'infection dans les tissus mous de la face : joue, levre, menton, paupiere, orbite. Visage deforme, chaud, rouge, tres douloureux, fievre elevee. Necessite antibiotiques IV et incision de drainage en urgence. Hospitalisation souvent necessaire (3-7 jours).
Sinusite odontogene
Les racines des premolaires et molaires superieures sont tres proches du plancher du sinus maxillaire. Un abces peut percer cette fine cloison osseuse et contaminer le sinus, provoquant une sinusite chronique unilaterale resistante aux antibiotiques classiques. Diagnostic par scanner. Traitement : traiter la dent cause + antibiotiques large spectre + drainage sinusal si necessaire.
Osteomyelite de la machoire
Infection profonde de l'os mandibulaire ou maxillaire. Rare mais grave. Douleurs profondes, persistantes, extension radiographique de l'alteration osseuse. Traitement long : antibiotiques IV plusieurs semaines, parfois chirurgie d'exerese des sequestres osseux.
Mediastinite descendante necrosante
L'infection descend le long des aponevroses cervicales jusqu'au mediastin (espace thoracique entre les poumons). Complication gravissime avec mortalite de 20 a 40% malgre chirurgie et reanimation. Diagnostic : scanner cervico-thoracique en urgence. Traitement : drainage chirurgical mediastinal + antibiotiques IV large spectre.
Endocardite bacterienne
Les bacteries orales passent dans le sang et colonisent les valves cardiaques, surtout chez les patients avec valve artificielle, prolapsus mitral, ou cardiopathie congenitale. Mortalite de l'endocardite sur valve native : 15-20%. Sur prothese valvulaire : 30-40%. C'est pourquoi ces patients doivent recevoir une antibioprophylaxie avant tout geste dentaire invasif.
Abces cerebral et meningite
Rare mais decrit. Les bacteries peuvent remonter le long des veines faciales (qui n'ont pas de valves) vers les sinus caverneux intracraniens et provoquer une thrombose du sinus caverneux, une meningite ou un abces cerebral. Mortalite eleveee (30-50% pour la thrombose du sinus caverneux). Signes : cephalees, fievre elevee, signes neurologiques, oedeme peri-orbitaire.
Prix a Geneve (CHF)
Les tarifs suivants sont indicatifs pour la ville de Geneve en 2026, bases sur le tarif TARDOC / Tarmed Dental SSO avec une valeur du point moyenne entre CHF 1.10 et CHF 1.40. Notre cabinet applique des tarifs transparents et fournit toujours un devis ecrit avant tout traitement depassant CHF 300.
| Acte | Prix CHF | Notes |
|---|---|---|
| Consultation d'urgence | 150 - 200 | Examen + radio + diagnostic |
| Drainage d'abces seul | 150 - 300 | Incision + meche |
| Traitement de canal - 1 canal | 600 - 900 | Incisive, canine |
| Traitement de canal - 2 canaux | 800 - 1'200 | Premolaire |
| Traitement de canal - 3+ canaux | 1'200 - 1'800 | Molaire |
| Extraction simple | 150 - 300 | Sans chirurgie |
| Extraction chirurgicale | 300 - 600 | Dent fracturee, racines |
| Extraction dent de sagesse incluse | 400 - 900 | Chirurgie orale |
| Surfacage radiculaire (par quadrant) | 80 - 150 | Abces parodontal |
| Apicectomie | 1'200 - 2'000 | Chirurgie endodontique |
| Couronne ceramique (apres canal) | 1'200 - 2'500 | Reconstruction |
| Antibiotiques (amoxicilline 7 j) | 25 - 50 | Pharmacie suisse |
| Supplement nuit (20h-8h) | + 65 | Urgence nocturne |
| Supplement dimanche et jours feries | + 45 | Urgence weekend |
Important : les soins dentaires courants ne sont PAS rembourses par la LAMal (assurance de base obligatoire en Suisse). Seuls quelques cas d'exception sont rembourses (accidents couverts par la SUVA, maladies graves du systeme masticatoire article 31 LAMal, certaines maladies systemiques). Pour une couverture du traitement d'un abces, il faut une assurance complementaire dentaire LCA (CSS Dental, Helsana Dental, Visana Dental, Swica Completa, Groupe Mutuel Dent Vita). Le detail complet dans notre guide prix et assurance urgence dentaire Suisse.
Delai de consultation recommande : 24 heures maximum. Plus vous attendez, plus le traitement sera complexe, douloureux et couteux. Un traitement precoce (devitalisation de CHF 800) evite souvent une extraction + implant (CHF 3'500-5'000) quelques semaines plus tard.
Prevention : eviter un nouveau abces
Un patient qui a eu un abces dentaire a un risque significativement plus eleve d'en developper un autre si les causes ne sont pas traitees. La prevention repose sur l'hygiene, l'alimentation et le controle regulier.
- Brossage 2 fois / jour, 2 minutes minimum avec une brosse souple ou electrique. Methode Bass (45 degres, mouvements vibratoires courts). Idealement apres chaque repas.
- Fil dentaire ou brossettes interdentaires quotidiennement. 40% des caries se forment entre les dents ou la brosse n'atteint pas.
- Limiter les sucres et les grignotages. Chaque prise alimentaire sucree provoque une attaque acide de 20-30 minutes. Preferer 3 repas structures a 10 snacks dans la journee.
- Visite de controle tous les 6-12 mois. Detection precoce des caries debutantes, detartrage professionnel, evaluation des gencives. Un controle coute CHF 80-150, bien moins qu'un abces.
- Radiographies de controle tous les 1-2 ans (bitewings, panoramique dentaire). Permettent de voir les caries cachees sous les points de contact.
- Detartrage professionnel tous les 6-12 mois pour eliminer le tartre que la brosse ne peut pas enlever.
- Arreter le tabac. Fumer multiplie par 3 le risque de parodontite et d'abces parodontal.
- Equilibrer un diabete. HbA1c inferieure a 7% reduit drastiquement le risque d'infection dentaire.
- Gouttiere occlusale si bruxisme (CHF 350-600) pour eviter les fractures dentaires.
- Protege-dents pour le sport de contact (CHF 150-400 sur mesure). Voir notre guide protections dentaires sportives.
- Traiter toute dent sensible ou douloureuse sans attendre. Une sensibilite au froid qui persiste plus de 2 semaines est un signe de carie profonde.
- Hygiene des dents de sagesse. Si elles sont douloureuses, enflees ou font des episodes de pericoronarite, les extraire avant qu'elles ne causent un abces.
FAQ - Questions frequentes
Un abces dentaire est-il toujours une urgence ?
Oui, sans exception. Un abces dentaire est une infection bacterienne active qui ne guerit jamais spontanement et qui peut se propager aux tissus voisins, a la mandibule, au plancher buccal, aux sinus et meme a la circulation sanguine (sepsis). Le delai maximum de consultation est de 24 heures. En cas de fievre elevee, gonflement important de la joue, difficulte a avaler ou respirer : appelez immediatement le 144 ou rendez-vous aux urgences des HUG.
Un abces dentaire peut-il disparaitre tout seul ?
Non. Un abces peut parfois se percer spontanement (fistule cutanee ou muqueuse), ce qui diminue temporairement la douleur et donne la fausse impression de guerison. Mais l'infection reste active et continue de detruire l'os autour de la dent. Sans drainage professionnel et elimination de la cause (carie, fracture, parodontite), l'abces revient toujours, souvent plus grave. 100% des abces necessitent un traitement dentaire.
Combien coute le traitement d'un abces dentaire a Geneve ?
Le drainage d'un abces en urgence coute CHF 150-300 (consultation + incision). Le traitement de la cause varie : devitalisation d'une dent CHF 800-1'500 selon le nombre de canaux, extraction simple CHF 150-300, extraction chirurgicale CHF 300-600, surfacage radiculaire pour abces parodontal CHF 80-150 par quadrant. Les antibiotiques (amoxicilline + metronidazole) coutent CHF 25-50 en pharmacie suisse. Notre cabinet facture CHF 200 pour le traitement d'urgence d'un abces dentaire.
Les antibiotiques seuls peuvent-ils soigner un abces dentaire ?
Non. Les antibiotiques reduisent temporairement l'infection et la douleur mais ne peuvent jamais guerir un abces dentaire. La raison est mecanique : les bacteries sont enfermees dans une poche de pus a l'interieur ou autour de la dent, et les antibiotiques du sang ne penetrent pas efficacement dans cette cavite. Seul le drainage mecanique (incision, devitalisation ou extraction) elimine l'infection. Les antibiotiques sont utiles uniquement en complement.
Quels sont les signes qu'un abces dentaire est devenu tres grave ?
Les signes d'alarme absolus sont : fievre superieure a 38.5 C, gonflement important de la joue ou du cou, difficulte a avaler, difficulte a ouvrir la bouche (trismus), difficulte a respirer, changement de voix, ganglions enfles et douloureux, malaise general, confusion. Ces symptomes indiquent une propagation de l'infection (cellulite, angine de Ludwig, bacteriemie) qui peut etre mortelle. Appelez immediatement le 144 ou rendez-vous aux urgences hospitalieres.
Peut-on mettre du chaud sur un abces dentaire ?
Non, jamais. La chaleur dilate les vaisseaux sanguins et accelere la propagation de l'infection, ce qui augmente le risque de cellulite faciale. Utilisez toujours du froid (poche de glace enroulee dans un linge, 15 minutes toutes les heures) qui vasoconstrict et diminue la douleur. Les bains de bouche a l'eau tiede (pas chaude) avec du sel peuvent etre utilises, mais JAMAIS d'application directe de chaleur sur la joue.
Faut-il percer soi-meme un abces dentaire ?
Absolument pas. Percer un abces avec une aiguille non sterile, un cure-dent ou un objet quelconque est extremement dangereux : introduction de nouvelles bacteries, propagation de l'infection dans la circulation sanguine (bacteriemie, septicemie), destruction des tissus sains, formation de fistules permanentes. Seul un dentiste ou un medecin, avec instruments steriles et sous anesthesie locale, peut drainer un abces de maniere sure. Meme une fistule qui se perce spontanement doit etre evaluee en urgence.
L'ibuprofene est-il efficace contre la douleur d'un abces dentaire ?
Oui, c'est le meilleur antalgique. L'ibuprofene (400 mg toutes les 6 heures, dose maximale 1'200 mg/jour en automedication) agit a la fois comme antidouleur et comme anti-inflammatoire, ce qui reduit le gonflement et la pression dans la cavite abcedee. A combiner avec du paracetamol 1 g toutes les 6 heures pour un effet potentialise. Evitez l'aspirine qui augmente le saignement. Contre-indications ibuprofene : ulcere, insuffisance renale, grossesse au 3eme trimestre, allergie aux AINS.
Abces dentaire ? On vous recoit en urgence a Geneve.
Notre cabinet d'urgence dentaire accueille les patients sans rendez-vous 7 jours sur 7 a Geneve. Drainage, antibiotiques, devitalisation ou extraction : diagnostic et traitement le jour meme.
Rue du Conseil-Général 7, 1205 Genève, Suisse
Articles lies
GUIDE PILLIER
Dentiste d'Urgence a Geneve : Guide Complet 2026
Numeros utiles, premiers soins, couts, LAMal, procedures nuit et weekend.
INFECTION
Gencive Gonflee et Infection : Causes et Traitement
Gingivite, parodontite, abces parodontal : symptomes, urgences, traitements et prix CHF.
PREMIERS SOINS
Soulager une Douleur Dentaire Sans Dentiste
Antalgiques, remedes naturels, erreurs a eviter et vraies urgences a reconnaitre.
PRIX & ASSURANCE
Cout d'une Urgence Dentaire en Suisse
Tarifs TARDOC, LAMal, LCA, supplements nuit/dimanche et astuces pour reduire la facture.
GARDE DENTAIRE
Dentiste de Garde Geneve : Nuit et Week-end
Numeros 24/7, SOS Dentistes, HUG CUMD, horaires et supplements tarifs.
TRAUMATISME
Traumatisme Dentaire Sport : Premiers Secours
Protocole IADT, fractures, dents expulsees, prevention avec protege-dents.