
Traumatisme Dentaire Sport : Premiers Secours et Urgences
Une dent cassee en plein match de hockey, un coup de coude au basket, une chute a velo qui finit visage contre bitume : les traumatismes dentaires sportifs representent jusqu'a 39 % des accidents chez les pratiquants reguliers. Ce que vous faites dans les 30 premieres minutes determine si la dent est sauvee ou perdue. Voici le protocole complet, valide par l'International Association of Dental Traumatology et la Societe Suisse des Medecins-Dentistes (SSO).
Que vous soyez entraineur, parent, soigneur, joueur ou simple temoin, ce guide vous donne les gestes a effectuer dans l'ordre, les erreurs a eviter, les delais critiques et les criteres pour juger de la gravite. Chaque section est referencee par les recommandations internationales 2020 de l'IADT et les protocoles d'urgence pratiques par les cabinets dentaires de Geneve.
Statistiques et sports a risque
Les traumatismes dentaires d'origine sportive sont la deuxieme cause de blessure orofaciale apres les accidents de la circulation, et la premiere cause chez les enfants et adolescents de 7 a 18 ans. Les meta-analyses publiees dans Dental Traumatology (2018-2022) etablissent une prevalence comprise entre 13 % et 39 % selon le sport, l'age, le sexe et l'usage d'une protection.
A Geneve, les cabinets specialises recoivent en moyenne 3 a 5 traumatismes sportifs par semaine, avec un pic le dimanche soir et le lundi matin (matchs du weekend). L'incisive centrale superieure droite (dent 11) est touchee dans 62 % des cas, suivie de l'incisive centrale gauche (dent 21). Les dents anterieures concentrent plus de 85 % des traumatismes sportifs.
| Sport | Prevalence | Mecanisme principal | Mouthguard obligatoire ? |
|---|---|---|---|
| Boxe / arts martiaux | 45-50 % | Coups directs, K.O. | Oui (federations) |
| Hockey sur glace | 35-39 % | Crosse, palet, mise en echec | Junior oui, senior non |
| Rugby | 28-32 % | Plaquage, melee, coup de tete | Recommande, non obligatoire CH |
| Basket-ball | 22-27 % | Coude au visage, chute | Non |
| Football | 10-15 % | Tete contre tete, coup de pied | Non |
| VTT / BMX / cyclisme | 20-25 % | Chute face contre sol | Non (seul casque) |
| Ski / snowboard | 15-20 % | Chute, collision, perche | Non |
| Skateboard / roller | 15-18 % | Chute en avant | Non |

Les enfants et adolescents sont surreprésentes : un tiers de toutes les avulsions dentaires concernent les 7-14 ans, periode ou les dents permanentes sont fraichement eruptees et la coordination motrice encore imparfaite. Les garcons subissent 2 a 3 fois plus de traumatismes que les filles, principalement par exposition aux sports de contact.
Les types de traumatisme dentaire
L'International Association of Dental Traumatology (IADT) classe les traumatismes dentaires en sept categories distinctes, en fonction du deplacement de la dent dans son alveole. Cette classification (mise a jour 2020) determine directement le protocole de premiers secours et le traitement.
1. Concussion (commotion sans deplacement)
La dent a recu un choc mais reste parfaitement en place. Aucun deplacement, aucune mobilite anormale. Symptomes : sensibilite a la percussion (tapoter doucement avec un doigt sur la dent reveille la douleur). C'est la forme la plus benigne mais qui necessite tout de meme un controle radiographique pour detecter une eventuelle fracture interne ou une atteinte du nerf.
2. Subluxation
La dent est devenue mobile mais sans changement de position visible. Saignement leger autour du collet (jonction dent-gencive). C'est une atteinte des fibres du ligament parodontal sans deplacement osseux. Necessite une contention legere (resine collante) pendant 2 semaines pour permettre la cicatrisation.
3. Luxation laterale
La dent est deplacee de cote (vers le palais ou vers la levre), souvent associee a une fracture de l'os alveolaire. Le sportif sent que sa dent "n'est plus a sa place". Necessite une repositionnement immediat sous anesthesie locale et une contention rigide pendant 4 semaines minimum.
4. Extrusion
La dent est sortie partiellement de son alveole : elle apparait plus longue que les voisines. C'est une luxation axiale qui rompt totalement le ligament parodontal et l'apport vasculaire au nerf. Necessite repositionnement immediat et contention. Risque de necrose pulpaire eleve (50-65 %).
5. Intrusion
La dent est enfoncee dans l'os, comme un clou enfonce dans du bois. Elle apparait plus courte ou disparait presque totalement. C'est l'un des traumatismes les plus graves : il combine compression du paquet vasculo-nerveux, ecrasement de l'os et dechirure du ligament. Necrose pulpaire dans 85-100 % des cas. Le repositionnement (chirurgical, orthodontique ou spontane selon la gravite) est complexe.
6. Avulsion (dent expulsee)
La dent est completement arrachee de son alveole : elle est par terre, dans le casque, dans la bouche ou perdue. C'est l'urgence dentaire absolue. Le pronostic depend exclusivement du temps ecoule et du milieu de conservation. La replantation doit avoir lieu dans les 30 a 60 minutes maximum.

7. Fracture coronaire ou radiculaire
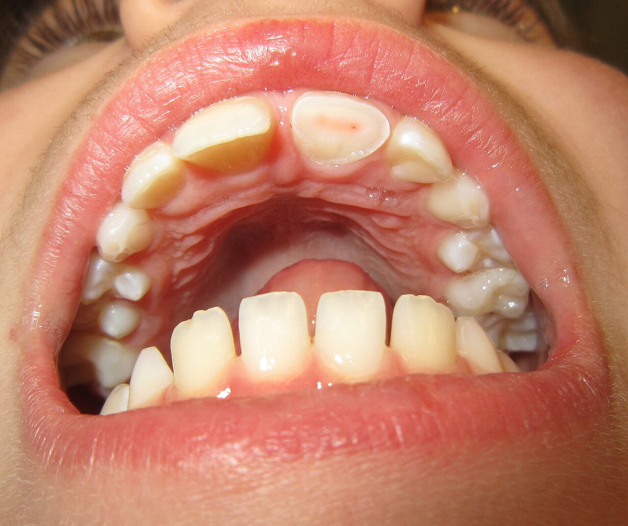
La dent reste en place mais une partie est cassee. La fracture peut concerner uniquement l'email (felure superficielle), atteindre la dentine (sensibilite au froid), exposer la pulpe (douleur vive et saignement) ou descendre jusqu'a la racine (souvent extraction). Voir le detail dans la section suivante.
Fractures de la dent : email, dentine, pulpe, racine
Les fractures dentaires se classent par profondeur. Plus la fracture est profonde, plus le pronostic est reserve et plus le traitement est complexe. La radiographie est indispensable pour classer correctement.

| Type | Tissu touche | Symptomes | Traitement |
|---|---|---|---|
| Felure | Email seul, pas de perte | Aucun ou ligere sensibilite | Polissage, observation |
| Email simple | Email superficiel, petit eclat | Bord coupant | Polissage ou composite |
| Email + dentine | Dentine exposee jaune | Sensibilite froid/sucre | Composite ou recollage du fragment |
| Pulpaire (Ellis III) | Pulpe (nerf) exposee, point rouge | Douleur vive, saignement | Coiffage pulpaire ou pulpotomie urgente |
| Corono-radiculaire | Couronne + debut de racine | Mobilite, douleur a la mastication | Endo + couronne ou extraction |
| Radiculaire (1/3 apical) | Racine seule, fracture transversale | Mobilite legere, douleur | Contention 4 mois, suivi |
| Radiculaire (1/3 cervical) | Racine pres du collet | Mobilite forte | Souvent extraction puis implant |
Le test du froid est utilise par le dentiste pour evaluer la vitalite pulpaire : un coton imbibe d'air froid (Endo-Frost) est applique sur la dent. Une reaction franche et breve = pulpe vivante. Pas de reaction = nerf endommage ou necrose en cours. Ce test est repete a chaque controle de suivi pendant 1 an.
Le fragment fracture doit etre conserve : si vous le retrouvez sur le terrain, mettez-le dans un sachet humide (compresse imbibee de serum physiologique). Le dentiste peut souvent recoller le fragment d'origine avec une resine adhesive : c'est plus esthetique, plus rapide et plus durable qu'une reconstitution composite.
Evaluation sur le terrain
Avant tout geste, evaluez la situation calmement. Le sportif blesse est souvent en etat de stress, sous l'effet de l'adrenaline et peut minimiser ou exagerer la gravite. Suivez ce protocole d'evaluation en 5 etapes ABCDE adapte des recommandations IADT.
Protocole d'evaluation ABCDE
- A - Airway (voies aeriennes) : verifier que le joueur respire normalement. Une dent expulsee peut avoir ete avalee ou inhalee. Signes d'inhalation : toux brutale, gene respiratoire, sifflement. Si suspicion = direction urgences hospitalieres immediate.
- B - Breathing (respiration) : verifier l'absence de fracture maxillaire ou mandibulaire qui pourrait gener la respiration ou l'ouverture buccale.
- C - Conscience : le joueur est-il oriente, repond-il aux questions ? Une perte de connaissance, meme breve, signe une commotion cerebrale qui necessite un avis medical immediat (et passe avant le dentaire).
- D - Dent et bouche : demander au joueur d'ouvrir la bouche. Compter les dents. Identifier la dent manquante ou cassee, evaluer le saignement, chercher des fragments dans la bouche, sur le terrain, dans le casque.
- E - Examen complet : verifier le visage (asymetrie ?), la machoire (occlusion correcte ?), les yeux (vision normale ?), le cou (mobilite douloureuse = suspicion cervicale).
Signes d'alarme qui imposent l'hopital
- Perte de connaissance, meme tres breve, ou desorientation
- Vomissements repetes apres le choc (signe de commotion)
- Saignement abondant et continu qui ne se controle pas en 10 minutes de compression
- Asymetrie faciale visible (oeil affaisse, joue tombante)
- Impossibilite d'ouvrir ou de fermer la bouche normalement (suspicion fracture mandibulaire)
- Dent inhalee ou suspicion d'inhalation
- Douleur cervicale intense ou raideur de nuque
Dans ces cas, appelez le 144 (urgences suisses) avant de penser au dentiste. Le sauvetage de la dent passe apres la securite du sportif. Une fois aux urgences hospitalieres (HUG a Geneve : 022 372 33 11), une consultation dentaire pourra etre demandee en complement.
Premiers gestes immediats sur le terrain
Apres l'evaluation, intervenez selon le type de traumatisme. Voici la liste exhaustive des gestes a effectuer dans l'ordre, et surtout les erreurs frequentes a ne pas commettre.
Etape 1 : Contenir l'hemorragie
Le saignement intra-buccal peut paraitre impressionnant car la salive le dilue. Faites cracher le joueur (jamais avaler), puis appliquez une compresse sterile ou un mouchoir propre sur la zone qui saigne. Compression continue 10 minutes, sans relacher pour verifier (cela rouvre la plaie). En l'absence de compresse, un sachet de the noir humidifie fait office d'hemostatique d'appoint (les tannins favorisent la coagulation).
Etape 2 : Chercher la dent ou le fragment
Si une dent ou un morceau manque : cherchez immediatement sur le terrain, dans le casque, dans la bouche, dans le maillot. Demandez aux coequipiers de regarder. Une dent expulsee non retrouvee est une dent perdue. Eclairez avec la lampe d'un telephone. Le sang sur l'herbe ou la glace peut aider a localiser.
Etape 3 : Conserver la dent dans le bon milieu
Si vous trouvez la dent : prenez-la par la couronne (la partie blanche, lisse, qui sortait normalement de la gencive). Ne touchez JAMAIS la racine (la partie jaunatre, rugueuse) : elle est tapissee de cellules vivantes du ligament parodontal qui doivent rester intactes pour que la replantation reussisse.
Rincez 10 secondes maximum sous l'eau froide ou du serum physiologique pour enlever la terre, le sable ou l'herbe. Ne frottez pas, ne savonnez pas, ne brossez pas.
| Milieu de conservation | Duree de conservation | Note |
|---|---|---|
| Hank's Balanced Salt Solution (HBSS) | 24 heures | Ideal mais rare (en pharmacie sur commande) |
| Lait UHT froid | 2-6 heures | Recommandation IADT, disponible partout |
| Serum physiologique 0.9 % | 2-3 heures | Equivalent au lait, disponible en pharmacie |
| Salive du joueur (joue) | 30-60 minutes | Si conscient, dent dans la bouche pres de la joue |
| Replantation immediate dans alveole | Optimal | Geste expert, demande de mordre une compresse |
| Eau du robinet | A PROSCRIRE | Hypotonie : eclate les cellules en 10 min |
| Sec, mouchoir, lingette | A PROSCRIRE | Dessechement irreversible des cellules |
Etape 4 : Decision urgence immediate
Pour avulsion (dent expulsee), luxation laterale, intrusion ou extrusion : direction cabinet d'urgence dentaire dans les 30 minutes. Telephonez en route pour prevenir le cabinet. A Geneve, appelez 078 216 67 26 7j/7 ou SOS Dentistes au 022 735 73 11.
Pour fracture coronaire avec exposition pulpaire (point rouge visible, douleur vive) : urgence dans les 2 a 4 heures. La pulpe exposee s'infecte rapidement.
Pour concussion, subluxation ou fracture limitee a l'email : consultation dans les 24 heures, mais sans urgence vitale. Glace sur la joue, antalgique (paracetamol 1 g ou ibuprofene 400 mg), alimentation molle.
Le protocole IADT International
L'International Association of Dental Traumatology publie depuis 2007 des recommandations cliniques mises a jour tous les 5 a 7 ans. Les guidelines 2020 sont la reference mondiale et sont enseignees dans toutes les universites dentaires, dont l'Universite de Geneve (UNIGE).
Les 5 piliers du protocole IADT 2020
- Time is teeth : chaque minute compte. La survie cellulaire du ligament parodontal chute de 1 % par minute hors milieu adapte. Au-dela de 60 minutes a sec, l'extraction est presque inevitable a moyen terme.
- Manipulation par la couronne : ne jamais toucher la racine, qui porte les cellules vivantes responsables de la cicatrisation.
- Conservation en milieu hypotonique controle : HBSS > lait > serum physiologique > salive. Jamais l'eau, jamais le sec.
- Replantation immediate si possible : sur le terrain, par un soigneur forme ou un dentiste. Le sportif mord ensuite une compresse pendant le transport.
- Suivi rigoureux : consultations a 1, 2, 4, 8 semaines puis 6 mois, 1 an, 2 ans, 5 ans pour detecter les complications tardives (necrose pulpaire, resorption radiculaire, ankylose).
Telecharger le protocole IADT en format poche
L'IADT publie des fiches plastifiees pour les soigneurs et entraineurs : dentaltraumaguide.org. Une application mobile gratuite (ToothSOS, disponible iOS et Android) guide pas a pas les premiers gestes selon le type de traumatisme. A telecharger AVANT le premier match de la saison.
A Geneve, plusieurs cabinets dentaires d'urgence (dont le notre) sont formes au protocole IADT et disposent du materiel necessaire : contention en fil de titane, resine adhesive, hydroxide de calcium, coiffage pulpaire au MTA, ainsi que le suivi long terme planifie avec rappels automatiques.
Consultation dentaire et examens
A l'arrivee au cabinet, le dentiste suit une procedure standardisee en 4 etapes : interrogatoire, examen clinique, examens d'imagerie, plan de traitement.
1. Interrogatoire (5 minutes)
Heure exacte du choc, mecanisme (coup direct, chute, objet contendant), perte de connaissance ?, vomissements ?, allergies, vaccinations a jour (tetanos !), traitements medicamenteux, derniere visite chez le dentiste, etat dentaire avant le choc. Apportez votre carte d'assurance maladie et la declaration d'accident pre-remplie si possible.
2. Examen clinique (10 minutes)
Inspection visuelle, palpation des arcades, test de mobilite (instrument fin), test de percussion (douleur ?), test de vitalite pulpaire (froid, electrique), examen des tissus mous (gencive, levres, langue, joues), recherche de corps etranger ou de fragment dentaire dans la plaie, controle de l'occlusion (les dents ferment-elles normalement ?).
3. Examens d'imagerie
Radiographies retro-alveolaires (dents traumatisees + voisines), radiographie panoramique pour vue d'ensemble. En cas de doute sur une fracture radiculaire ou alveolaire complexe, le dentiste prescrit un scanner CBCT (Cone Beam Computed Tomography) qui donne une image 3D haute precision avec une dose de rayons tres reduite par rapport a un scanner medical classique.

Tarifs typiques a Geneve : retro-alveolaire CHF 35-60, panoramique CHF 100-180, CBCT CHF 250-450. Tous remboursables par l'assurance accident apres declaration.
4. Plan de traitement et devis ecrit
Le dentiste etablit un devis ecrit selon la grille SSO/Tarmed (point a CHF 1.00-1.20) incluant les soins immediats, la contention, les controles de suivi et les traitements futurs probables (endodontie, couronne, eventuel implant). Ce devis est obligatoire pour tout traitement depassant CHF 300 et est transmis a votre assureur accident pour validation et prise en charge.
Traitements selon le type de traumatisme
Chaque type de traumatisme appelle un protocole specifique. Voici les traitements de reference selon les recommandations IADT 2020.
| Type | Traitement immediat | Cout indicatif CHF |
|---|---|---|
| Concussion | Observation, alimentation molle 1 sem. | 200-350 |
| Subluxation | Contention souple 2 semaines | 350-600 |
| Luxation laterale | Repositionnement + contention 4 sem. | 500-900 |
| Extrusion | Repositionnement + contention 2-4 sem. | 450-800 |
| Intrusion (mineure) | Repositionnement spontane ou orthodontique | 600-1'200 |
| Avulsion (replantation) | Replantation + contention 2 sem. | 600-1'200 |
| Fracture email | Polissage ou composite | 200-350 |
| Fracture email + dentine | Composite ou recollage fragment | 300-550 |
| Fracture pulpaire (Ellis III) | Coiffage pulpaire MTA + composite | 550-900 |
| Traitement de canal post-trauma | Endodontie complete + couronne | 1'400-2'800 |
| Implant (dent perdue) | Implant titanium + couronne ceramique | 3'500-6'500 |
La contention : geste cle apres luxation/avulsion
Apres replantation ou repositionnement, la dent est stabilisee par une attelle souple en fil de titane colle aux dents voisines avec une resine adhesive. Cette contention permet la cicatrisation du ligament parodontal sans bloquer completement les micro-mouvements physiologiques (qui favorisent la regeneration).
Duree typique : 2 semaines pour avulsion replantee dans l'heure, 4 semaines pour luxation laterale ou fracture radiculaire. La contention rigide prolongee est deconseillee : elle augmente le risque d'ankylose (fusion de la racine avec l'os) qui condamne la dent a moyen terme.
Antibioprophylaxie et anti-tetanique
Apres avulsion, le dentiste prescrit generalement amoxicilline 500 mg x 3/jour pendant 7 jours (ou doxycycline si allergie). Verifiez votre carnet de vaccination : si le dernier rappel tetanos remonte a plus de 5 ans et que la plaie est souillee (terre, herbe), un rappel est indispensable. Bain de bouche chlorhexidine 0.12 % deux fois par jour pendant 1 semaine pour limiter l'infection.
Suivi long terme : 6 mois, 1 an, 5 ans
Un traumatisme dentaire ne se termine pas a la fin du traitement immediat. Les complications tardives sont frequentes et peuvent apparaitre jusqu'a 5 ou 10 ans apres l'accident. Le protocole de suivi IADT est le suivant :
| Echeance | Examens | Objectif |
|---|---|---|
| 2 semaines | Retrait contention, examen clinique | Cicatrisation gencive |
| 4 semaines | Test de vitalite pulpaire + radio | Detecter necrose precoce |
| 3 mois | Vitalite + radio + clinique | Resorption inflammatoire ? |
| 6 mois | Vitalite + radio + couleur dent | Necrose tardive, dyscoloration |
| 1 an | Examen complet + radio + photos | Stabilisation, plan futur |
| 2 ans, 5 ans | Radio annuelle | Resorption tardive, ankylose |
Les 4 complications a surveiller
- Necrose pulpaire : le nerf meurt, la dent change de couleur (gris, brun), parfois indolore. Necessite un traitement de canal pour preserver la dent. Frequence : 25 % des subluxations, 50-65 % des extrusions, 85-100 % des intrusions, et jusqu'a 100 % des avulsions reimplantees apres 60 minutes a sec.
- Resorption inflammatoire : la racine se dissout sous l'effet d'une infection persistante. Visible a la radio comme une "lacune" dans la racine. Necessite un traitement de canal urgent. Apparait generalement entre 1 et 6 mois post-trauma.
- Resorption de remplacement (ankylose) : la racine est progressivement remplacee par de l'os. La dent perd sa mobilite physiologique, sonne "metallique" a la percussion et finit par s'infraposer (rester en arriere de l'arcade pendant la croissance). Evolution sur plusieurs annees, conduit souvent a l'extraction-implant a l'age adulte.
- Dyscoloration : la dent prend une teinte grisatre, jaune ou rose. Parfois reversible (saignement intra-pulpaire qui se resorbe), souvent definitive. Traitement : blanchiment interne apres devitalisation, ou facette ceramique.
Dans 70 % des cas, le traumatisme dentaire est stabilise apres 1 an et la dent est conservee pour de longues annees. Dans 30 % des cas, des complications imposent un traitement complementaire. C'est pour cette raison que les controles a 5 ans ne doivent pas etre negliges, meme si tout semble normal.
Prevention : la gouttiere mouthguard
La gouttiere de protection (mouthguard, protege-dents) est l'outil de prevention le plus efficace. Selon l'American Dental Association, son port reduit le risque de traumatisme dentaire de 60 a 80 % et le risque de commotion cerebrale de 50 a 60 % (par absorption des chocs transmis a la mandibule).

Les 3 types de mouthguards
| Type | Cout CHF | Confort | Protection | Duree de vie |
|---|---|---|---|---|
| Stock (taille unique) | 10-30 | Mediocre | Faible | 1 saison |
| Boil-and-bite (thermoformable) | 20-80 | Acceptable | Moyenne | 1-2 saisons |
| Custom (sur mesure dentiste) | 200-300 | Excellent | Maximale | 3-5 saisons (adulte) |
Stock vs Boil-and-bite vs Custom : que choisir ?
Le modele stock (CHF 10-30 en magasin de sport) offre une protection minimale : il ne s'adapte pas precisement a la denture, gene la respiration, tombe au sol des qu'on parle. Acceptable pour un debutant ou un usage tres occasionnel mais a remplacer rapidement.
Le modele boil-and-bite (CHF 20-80) est en plastique thermoformable : il se chauffe dans l'eau bouillante puis se moule sur la denture en mordant. Adaptation correcte mais non parfaite, epaisseur moyenne, peut s'amincir sur les zones les plus exposees. Remplacer chaque saison.
Le modele custom (sur mesure) (CHF 200-300) est fabrique par le dentiste a partir d'une empreinte numerique ou en alginate. Epaisseur calibree (3-4 mm), retention parfaite, n'gene ni la respiration ni la parole, tres confortable, durable 3 a 5 saisons chez l'adulte (1-2 chez l'enfant en croissance). C'est le standard recommande pour tout sportif regulier.
Calcul de rentabilite
Une gouttiere custom coute CHF 250 et dure 3 saisons = CHF 83/an. Un seul traumatisme evite (avulsion + replantation + couronne) coute en moyenne CHF 2'500 a CHF 5'000. Le retour sur investissement est de l'ordre de 30 a 60 fois, sans compter le confort, l'esthetique preservee et l'evitement du stress.
Entretien d'une gouttiere
- Rincer apres chaque utilisation a l'eau froide
- Brossage hebdomadaire avec brosse a dents et savon doux (pas de dentifrice abrasif)
- Conserver dans un boitier aere pour eviter les moisissures
- Ne pas exposer a la chaleur directe (voiture, soleil) : deformation
- Apporter a chaque controle dentaire pour verification
- Remplacer a la moindre fissure, deformation ou perte de retention
Recommandations SSO Suisse
La Societe Suisse des Medecins-Dentistes (SSO) et l'Universite de Geneve (Clinique de medecine dentaire) publient des recommandations specifiques pour la Suisse, alignees sur l'IADT mais adaptees au contexte local (assurances, federations sportives, climat).
Les recommandations SSO en 8 points
- Port obligatoire de gouttiere custom pour toute pratique reguliere (1+ entrainement par semaine) de hockey, boxe, arts martiaux, rugby, football americain, lacrosse, water-polo niveau competition
- Recommandation forte de gouttiere pour basket-ball, handball, judo, lutte, BMX, VTT downhill, skateboard, ski freestyle, hockey sur gazon
- Trousse de premiers secours dentaire obligatoire dans toute infrastructure sportive accueillant des matchs : gants, compresses, lait UHT, serum physiologique, boitier de transport pour dent expulsee, fiche IADT plastifiee
- Formation des entraineurs et soigneurs aux gestes IADT, idealement par une session de 2 heures organisee chaque saison avec un dentiste local
- Declaration immediate de tout traumatisme dentaire a l'assurance accident (LAA/SUVA) dans les 24 heures pour garantir la prise en charge integrale
- Controle dentaire annuel chez tout sportif regulier, avec evaluation de la denture, de l'occlusion et de l'usure de la gouttiere
- Acces a un cabinet d'urgence dentaire 7j/7 dans un rayon de 30 minutes maximum : numero a afficher dans le vestiaire et a enregistrer dans tous les telephones
- Suivi long terme planifie a 1, 3, 6 mois, 1, 2 et 5 ans pour tout traumatisme, meme apparemment benin
A Geneve, les principales federations sportives (Geneve Servette HC pour le hockey, Servette Rugby Club, federations cantonales de boxe et arts martiaux) collaborent avec des cabinets dentaires d'urgence pour la fourniture de mouthguards custom et la formation des soigneurs. La SUVA participe parfois aux frais via les programmes de prevention des accidents sportifs.
Notre cabinet et le sport a Geneve
Dentiste Urgence Geneve est situe au Rue du Conseil-Général 7, 1205 Genève, Suisse, ouvert 7j/7 : 8h-21h en semaine, 9h-18h le samedi, 10h-16h le dimanche. Nous accueillons les traumatismes dentaires sportifs en urgence sans rendez-vous, avec radiographie panoramique et CBCT sur place, contention en titane, et suivi long terme planifie. Pour un rendez-vous immediat, appelez le 078 216 67 26.
FAQ - Questions frequentes
Que faire si une dent est arrachee pendant un match ?
Ramassez la dent par la couronne (jamais par la racine), rincez 10 secondes a l'eau froide ou au serum physiologique sans frotter, et replantez-la immediatement dans son alveole en mordant doucement sur une compresse. Si la replantation est impossible, conservez-la dans du lait UHT, du serum physiologique ou la salive du joueur. Foncez chez un dentiste : 30 a 60 minutes maximum avant que les chances de sauvetage chutent. A Geneve : 078 216 67 26.
Combien d'athletes subissent une blessure dentaire ?
Selon les meta-analyses publiees dans Dental Traumatology, entre 13 % et 39 % des sportifs subissent au moins un traumatisme dentaire dans leur vie. Le taux atteint 50 % chez les pratiquants de boxe et de hockey sur glace sans protection. Les sports de contact concentrent 70 % des cas vus en cabinet d'urgence le weekend.
Une gouttiere mouthguard est-elle vraiment efficace ?
Oui : reduction du risque de 60 a 80 % selon l'American Dental Association, et reduction de 50-60 % du risque de commotion cerebrale. Les modeles custom (CHF 200-300) sont nettement superieurs aux modeles boil-and-bite du commerce. Pour un sport pratique regulierement, l'investissement custom est rentable des le premier traumatisme evite.
Faut-il consulter meme si la dent semble intacte apres un choc ?
Oui, systematiquement. Un choc apparemment benin peut provoquer une commotion du nerf qui ne devient visible qu'a la radiographie 3 a 6 mois plus tard, ou une fracture interne invisible a l'oeil nu. Le protocole IADT recommande un controle clinique et radiographique apres tout traumatisme dentaire, suivi de controles a 1 mois, 3 mois, 6 mois, 1 an et 5 ans.
Le lait est-il vraiment le meilleur milieu de conservation ?
Le lait UHT froid est le meilleur milieu disponible spontanement sur le terrain : son pH (6.5-6.8) et son osmolalite sont proches du milieu cellulaire, ce qui preserve la vitalite des cellules du ligament parodontal pendant 2 a 6 heures. Le serum physiologique est equivalent. Hank's Balanced Salt Solution (HBSS) est superieur (24h) mais rare. La salive du joueur fonctionne aussi pour 30-60 minutes. JAMAIS d'eau du robinet.
Quels sports presentent le plus de risques ?
Par ordre de prevalence : boxe et arts martiaux (45-50 %), hockey sur glace (35-39 %), rugby (28-32 %), basket-ball (22-27 %), VTT/BMX (20-25 %), ski/snowboard (15-20 %), football (10-15 %), skateboard (15-18 %). Meme les sports apparemment peu risques concentrent un nombre eleve de traumatismes faute d'usage systematique de protection.
Quel est le delai maximum pour reimplanter une dent ?
Idealement moins de 30 minutes, seuil critique a 60 minutes. Au-dela, le ligament parodontal se necrose et la re-attache devient impossible. IADT distingue : moins de 60 min en lait/HBSS = excellent pronostic ; 60-120 min = pronostic reserve ; plus de 2 heures = pronostic mauvais, l'extraction et la pose d'un implant deviennent souvent inevitables.
La SUVA prend-elle en charge les soins apres un accident sportif ?
Oui, integralement. Tout traumatisme dentaire survenu pendant une activite sportive est un accident au sens de la LAA. La SUVA (salaries) ou votre assurance accident privee couvre l'examen, radio, contention, traitement de canal, reconstitution, couronne et eventuel implant. Declarez l'accident dans les 24 heures, conservez tous les justificatifs et apportez le formulaire au cabinet dentaire.
Traumatisme dentaire ? Appelez maintenant.
Notre cabinet accueille les urgences dentaires sportives 7 jours sur 7. Radiographie panoramique et CBCT sur place, contention en titane, suivi long terme planifie. Chaque minute compte : telephonez avant de partir.
Rue du Conseil-Général 7, 1205 Genève, Suisse